Menu
Case histories
Lectures
A new approach
List of cases
Videorecords
Pitfalls
Course book
Course on US
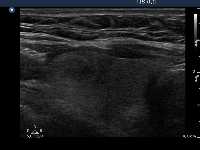
The role of complex diagnosis - follow-up of follicular lesions - Case 9.
4 years after initial investigation (ultrasonographic picture 2)
Right lobe, longitudinal scan.