Follicular carcinoma - Case 4. |
|
Clinical presentation: a 62-year old man came to a follow-up examination. He was examined for a year when he discovered a nodule himself. Aspiration cytology was not diagnostic. He had no complaints.
Palpation: a firm nodule in the left lobe.
Functional state: euthyroidism with TSH 1.60 mIU/L.
Ultrasonography: the thyroids were echonormal. There was a hypoechogenic, inhomogeneous nodule with irregular margins in the left lobe. The vascularization was not specific.
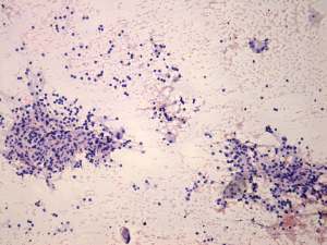
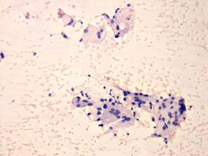
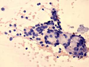
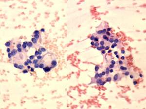
Cytology: follicular tumor with greater than the average risk for malignancy.
Histopathology: minimally invasive follicular carcinoma.
.








