The operated thyroid - Case 10. A patient after a partial lobectomy
Examination before surgery (cytologic picture 5)
|
|
|
|
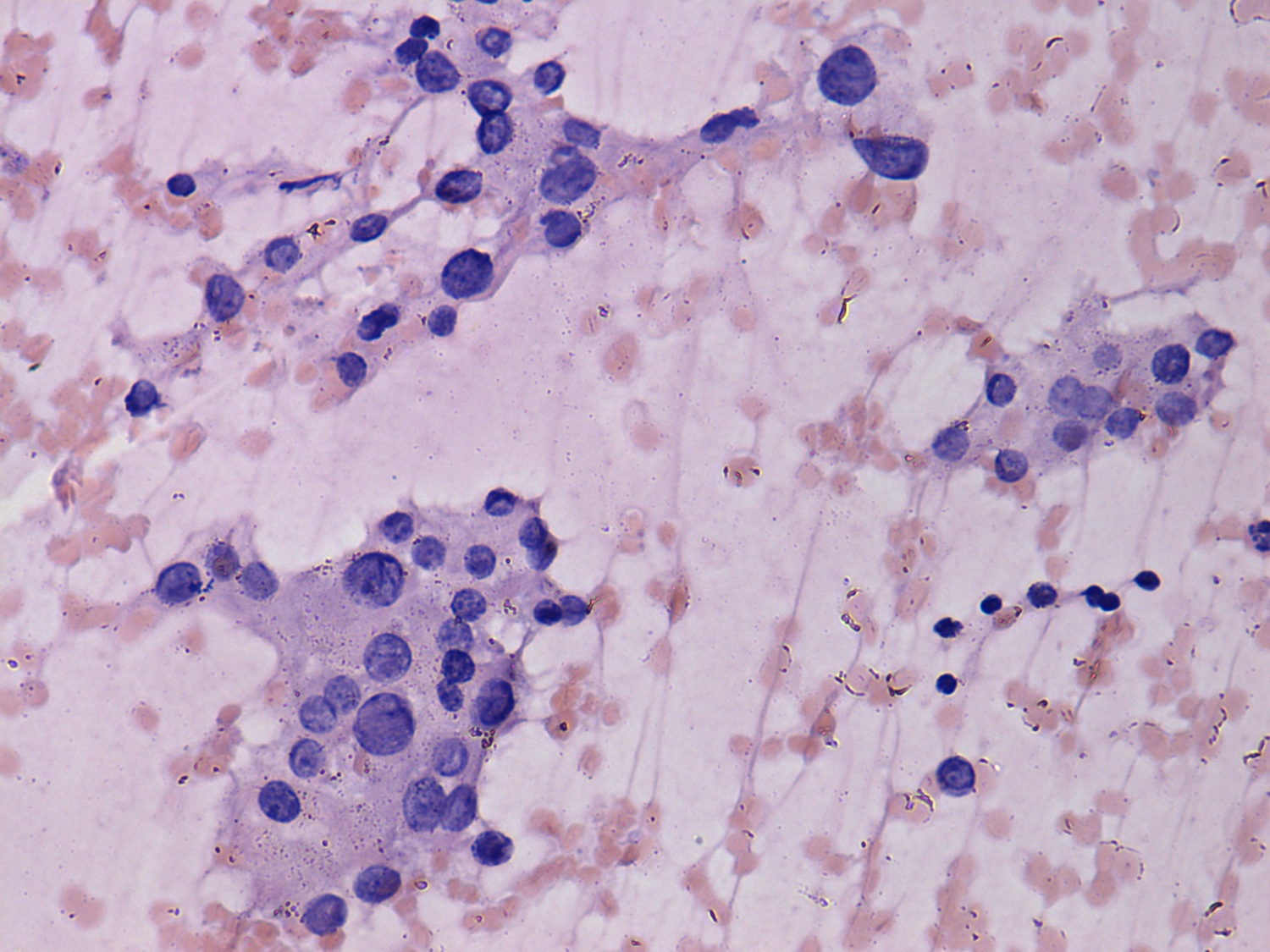
Wright-Giemsa staining, 400x. Smooth edges, nuclear crowding and overlapping - these are properties of a malignant-type papillary cell group.

