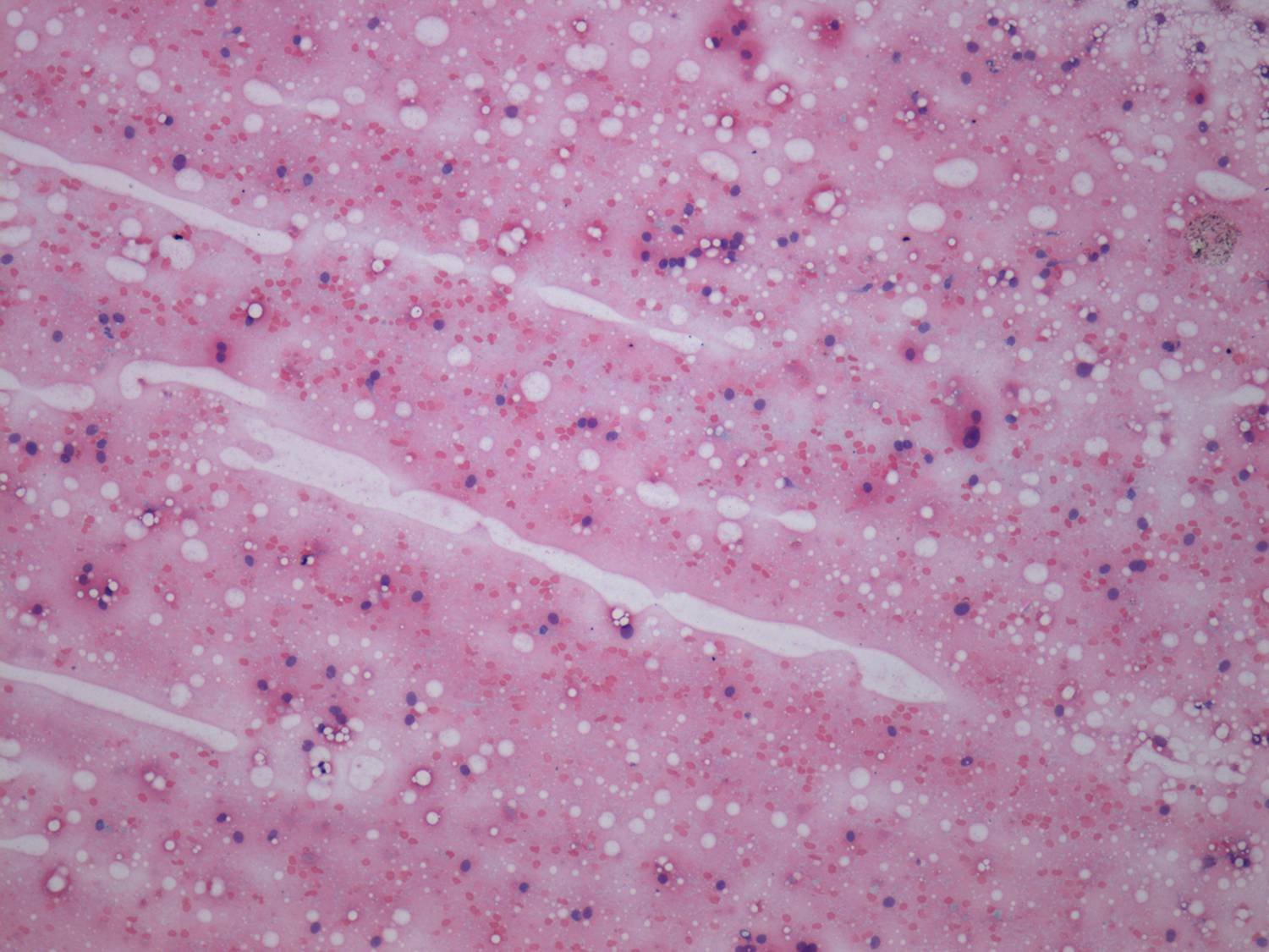
Oxyphilic adenoma - Case 5. (cytologic picture 1)
|
|
|
|
|
Pap-smear, 100x. Diffuse colloid precipitate in the background. Follicular cells dispersed and in micro- and normofollicles.

