Menu
Case histories
Lectures
Medullary cancer
List of cases
Videorecords
Pitfalls
Course book
Course on US
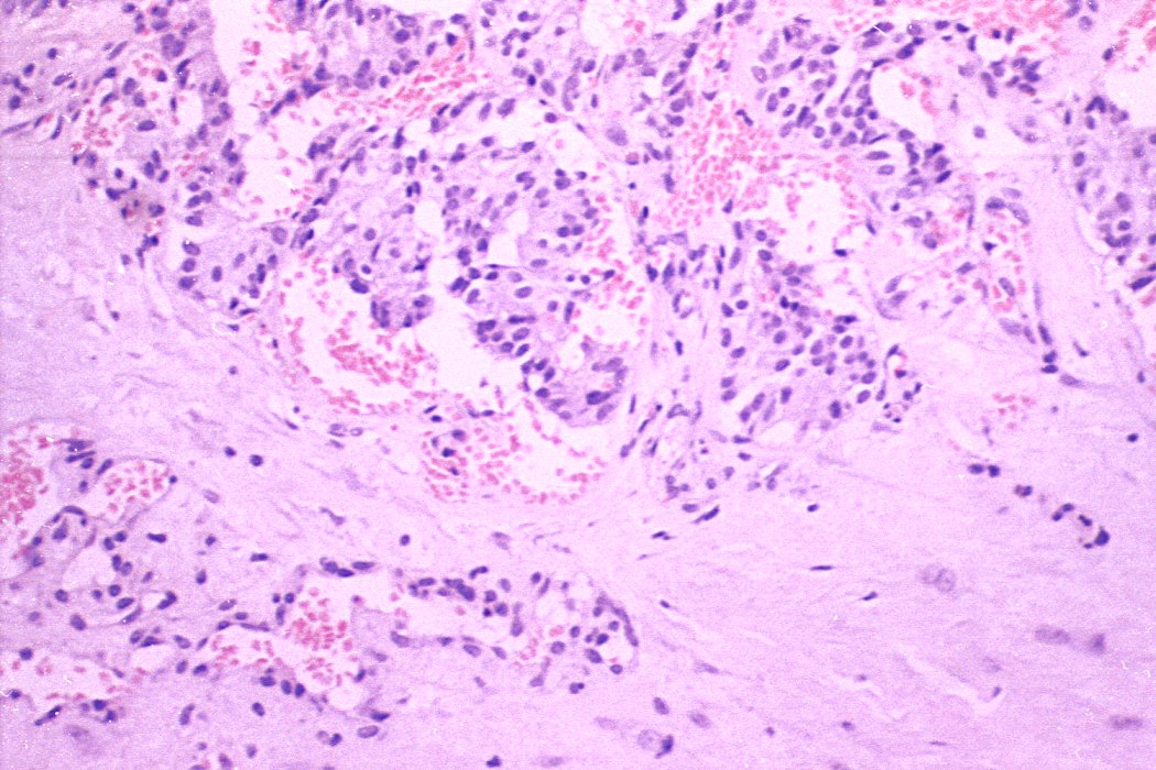
Medullary cancer - Case 5. (histological picture 3)
H.E.-section, 200x. Polypoid tumorous growth is present in the lumen of the centrally located blood vessel.