Menu
Case histories
Lectures
De Quervain's thyroiditis
List of cases
Videorecords
Pitfalls
Course book
Course on US
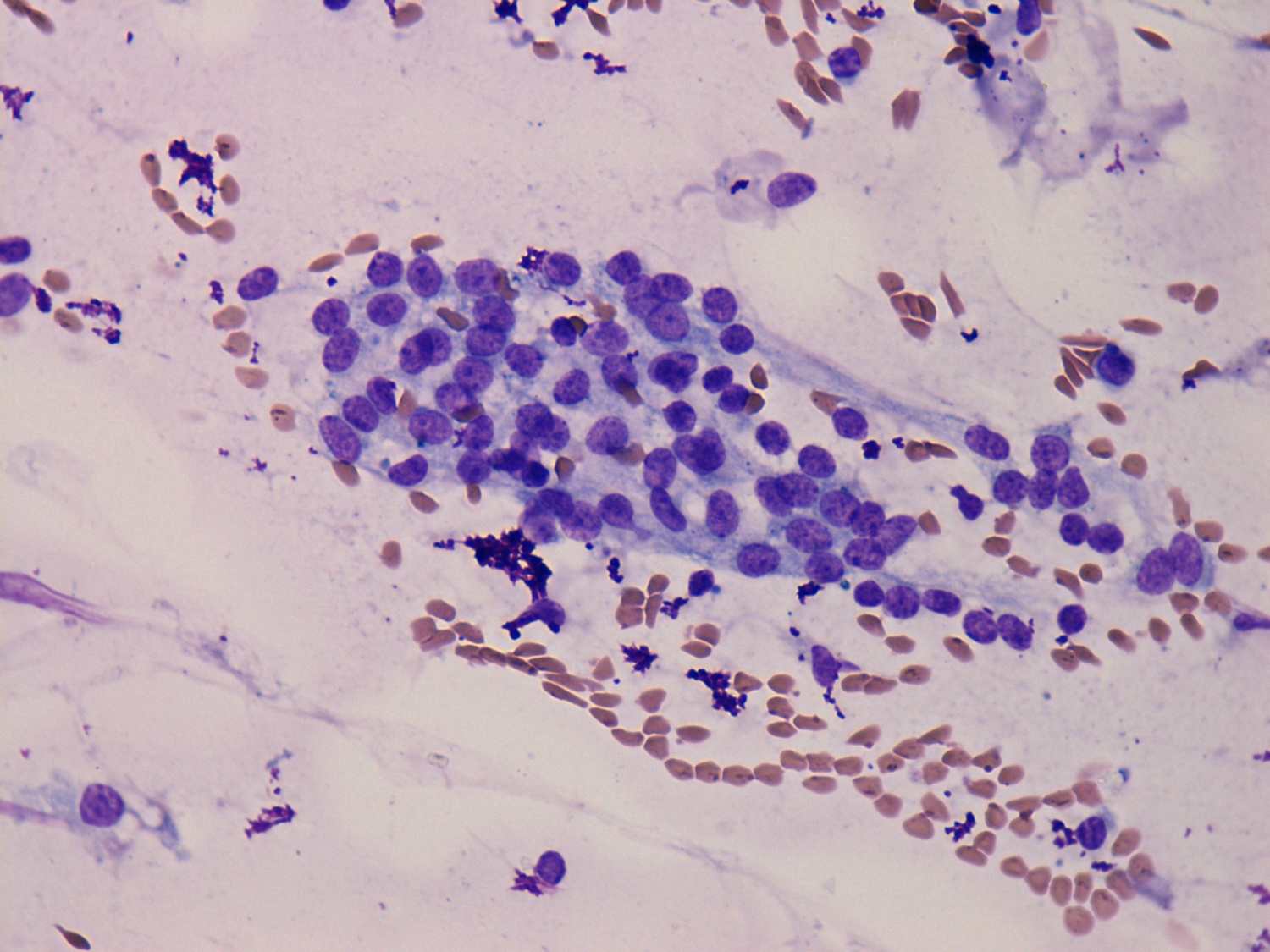
Subacute granulomatous de Quervain's thyroiditis - Case 3. (cytologic picture 5)
Wright-Giemsa staining, 400x. A cluster of well-preserved follicular cells.