Menu
Case histories
Lectures
De Quervain's thyroiditis
List of cases
Videorecords
Pitfalls
Course book
Course on US
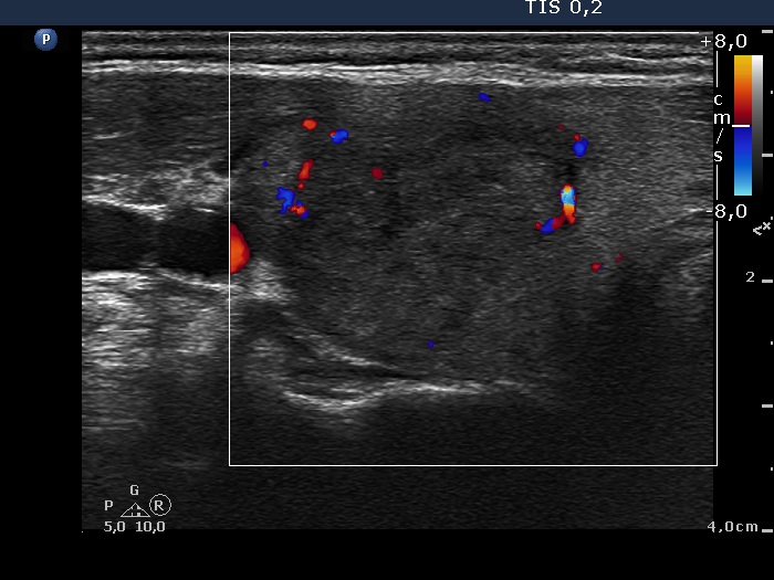
Subacute granulomatous de Quervain's thyroiditis - Case 6. (ultrasonographic picture 3)
Right lobe, horizontal scan. The vascularization is decreased.