Menu
Case histories
Lectures
Ethanol sclerotherapy
List of cases
Videorecords
Pitfalls
Course book
Course on US
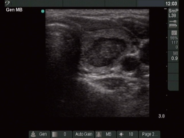
Ethanol sclerotherapy: thyroid cysts - Case 11
Three months after the sclerotherapy (ultrasonographic picture 1)
Left lobe, horizontal scan. The lesion shows a significant shrinkage.