Ethanol sclerotherapy: thyroid cysts - Case 11
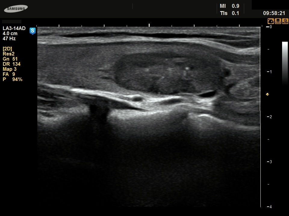
Four years after the sclerotherapy (ultrasonographic picture 2)
|
|
|
|
Left lobe, longitudinal scan. There are various hyperechogenic figures within the lesion.
