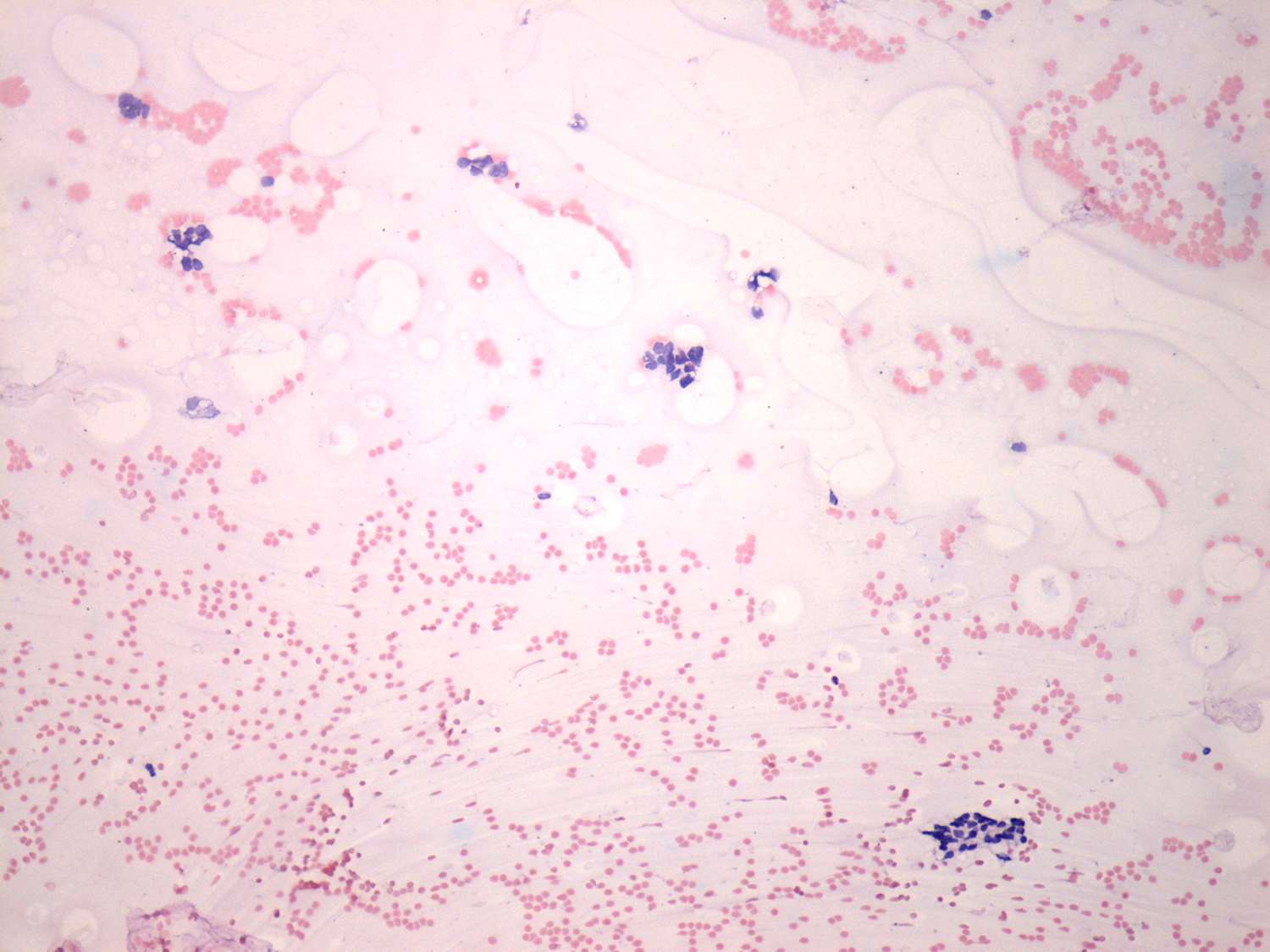
Pap-smear, 100x. There is no colloid in the background. Follicular cells are found in small clusters.