Differential diagnostic of thyroid cysts - Case 5. |
|
Clinical presentation: A 66-year-old woman requested evaluation because of a suddenly developed lump in the left side of the neck.
Palpation: a not firm nodule in the ishtmus and an elastic nodule in the left lobe. The latter causes significant enlargement off the lobe.
Functional state: euthyroidism (TSH 3.87 mIU/L).
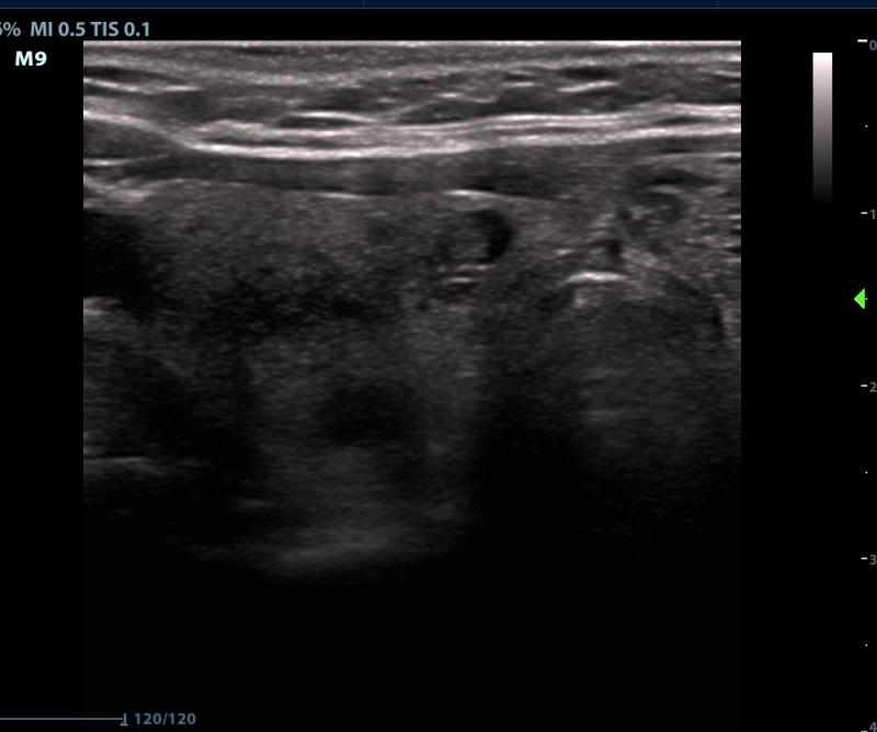
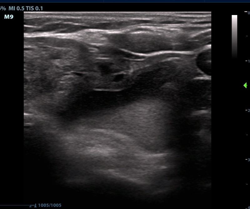
Ultrasonography. The thyroid was echonormal. There were numerous discrete lesions in the right lobe. There was a dominantly solid, echonormal nodule in the isthmus and an almost completely cyst in the left lobe.
28 mL fluid was aspirated from the cyst in the left lobe. Cytology resulted in Bethesda I, cystic fluid only category.
.














