Menu
Case histories
Lectures
De Quervain's thyroiditis
List of cases
Videorecords
Pitfalls
Course book
Course on US
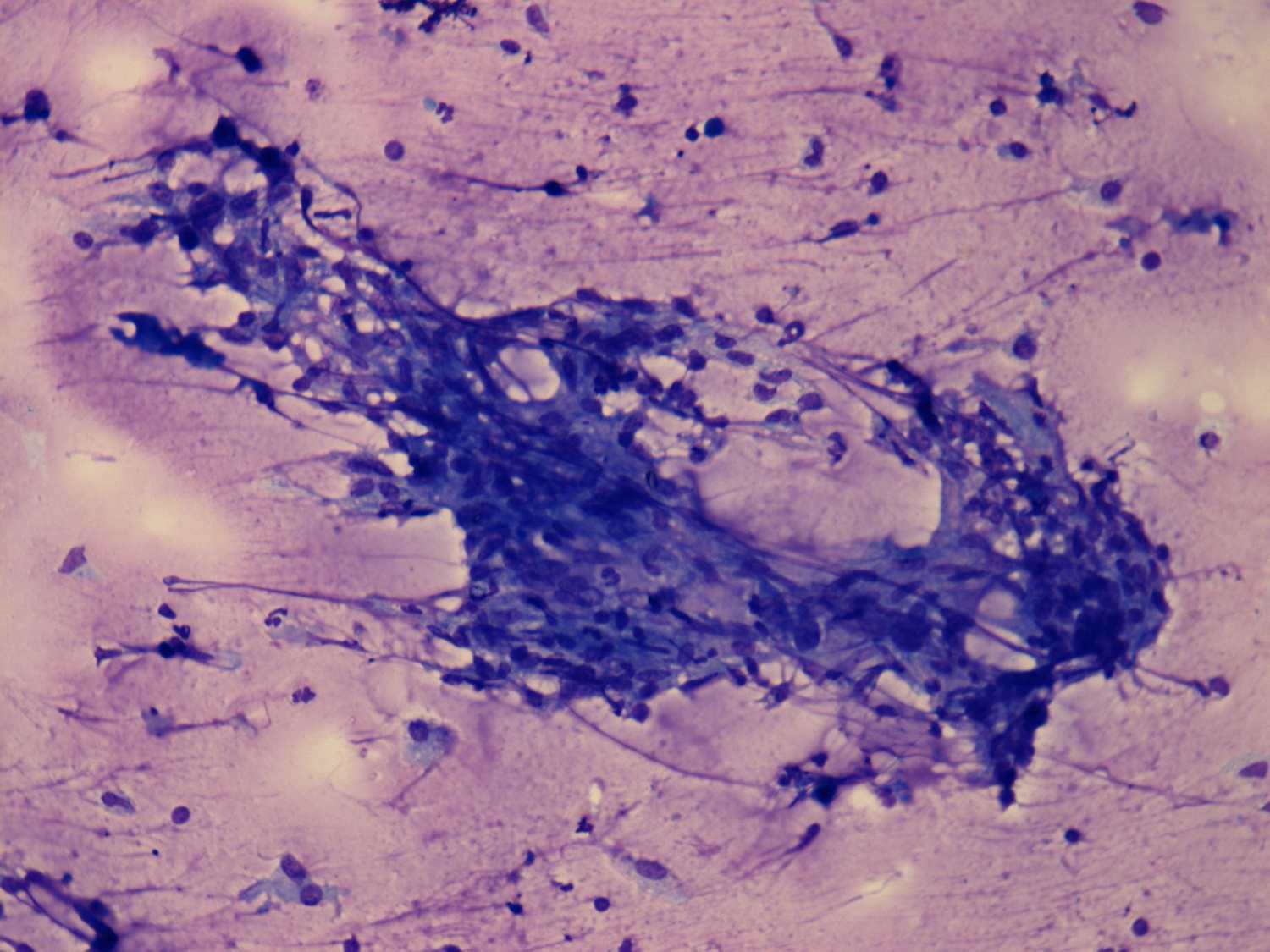
Subacute granulomatous de Quervain's thyroiditis - Case 14. (cytologic picture 2)
Wright-Giemsa staining, 200x. A large mutinucleated giant cell.