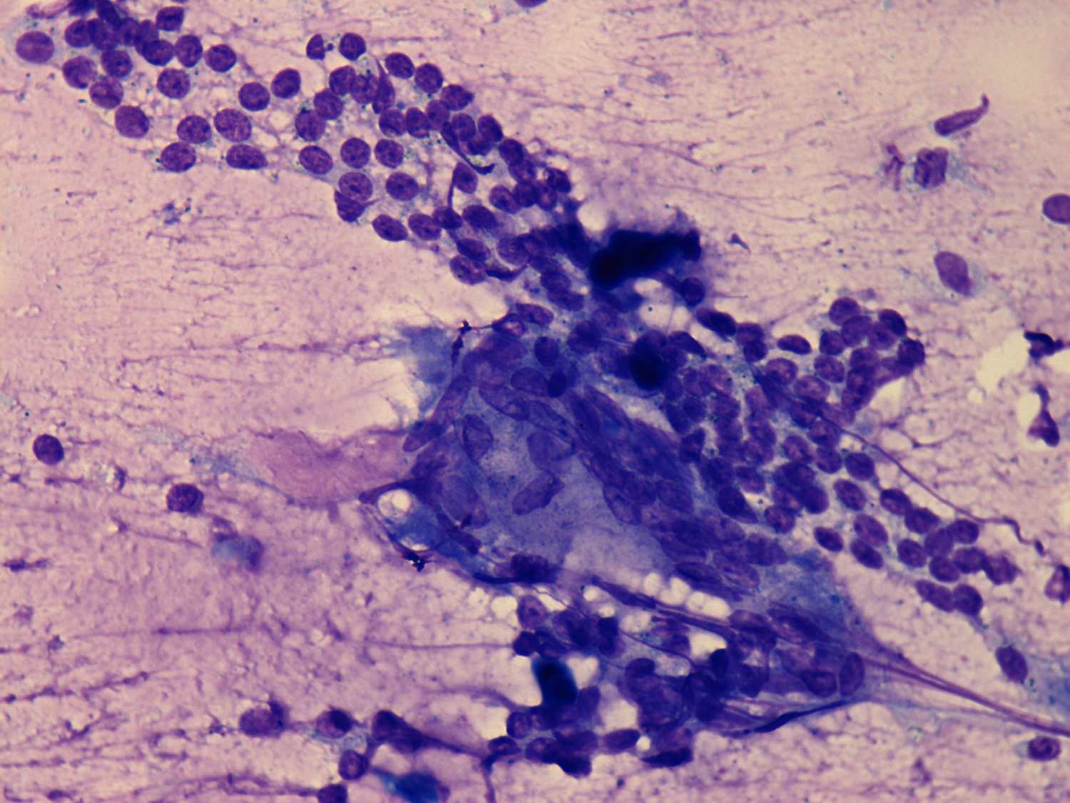
Subacute granulomatous de Quervain's thyroiditis - Case 14. (cytologic picture 4)
|
|
|
|
|
Wright-Giemsa staining, 400x. This giant cell is composed of elongated epitheloid cells.

