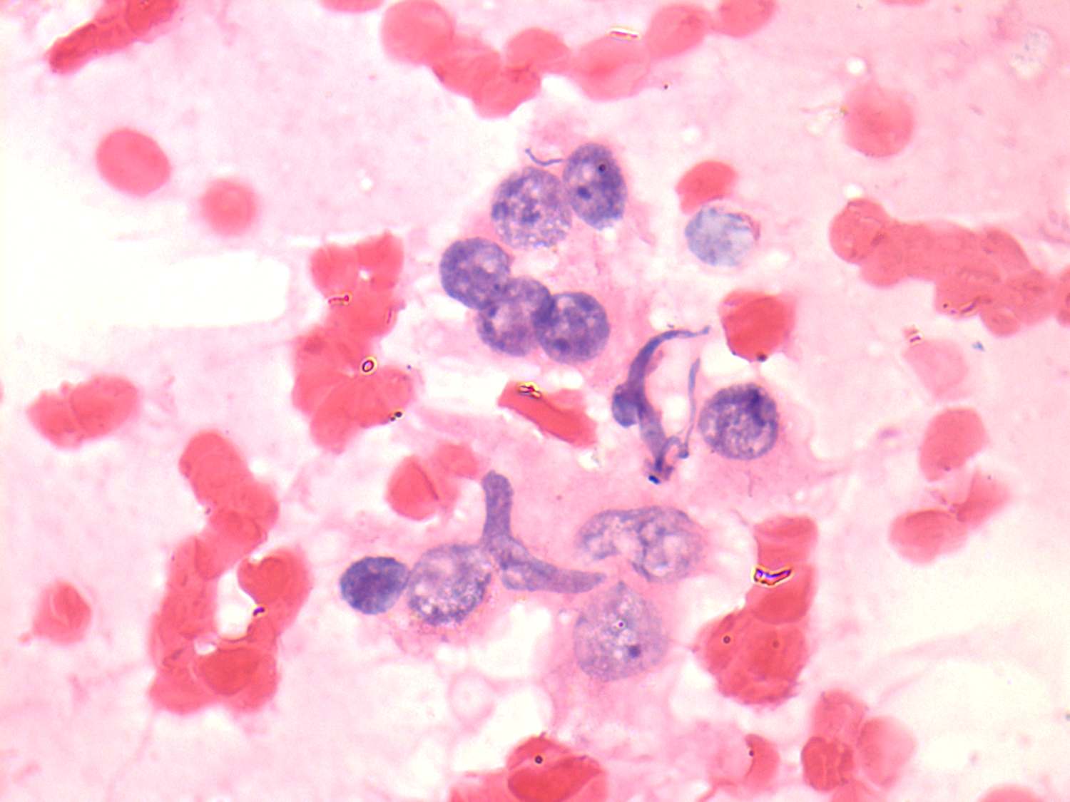
Subacute granulomatous de Quervain's thyroiditis - Case 10. (cytologic picture 6)
|
|
|
|
Pap-smear, 1000x. Histiocytes, epitheloid cells and one microfollicle composed of degenerated follicular cells.

