Menu
Case histories
Lectures
An operated thyroid
List of cases
Videorecords
Pitfalls
Course book
Course on US
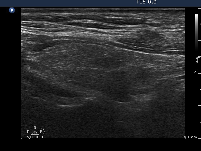
The operated thyroid - Case 8. A patient after near total lobectomy
Six weeks after surgery (ultrasonographic picture 2)
Right lobe, longitudinal scan. Note fibrotic changes.