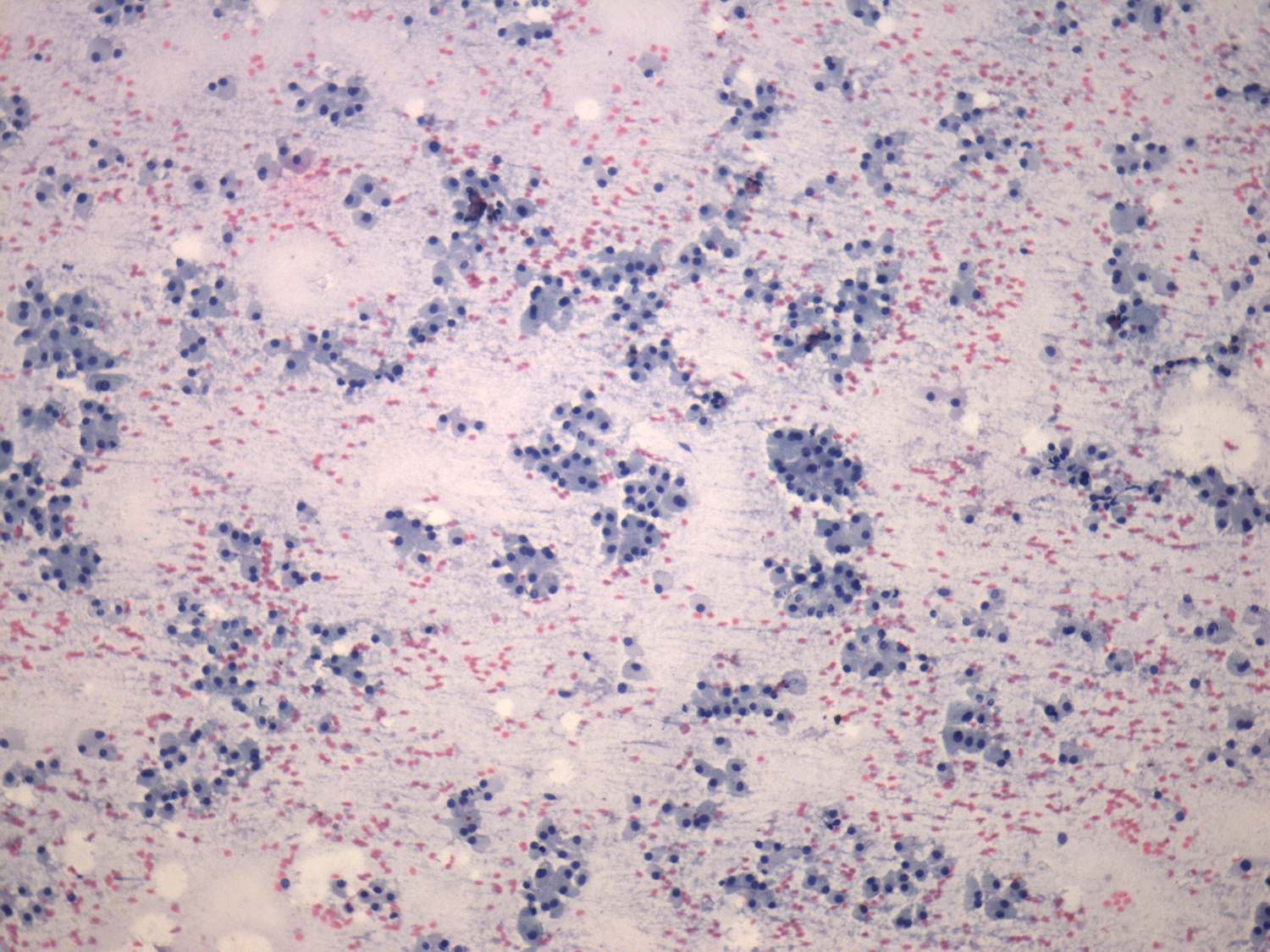
Pap-smear, 100x. There is no colloid in the background. Oxyphilic cells are found in small groups and dispersed.