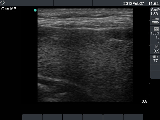
Subacute granulomatous de Quervain's thyroiditis - Case 15. (ultrasonographic picture 2)
|
|
|
|
Right lobe, longitudinal scan. There are several moderately hypoechogenic areas with indistinct borders.
