Follicular adenoma - Case 39. |
|
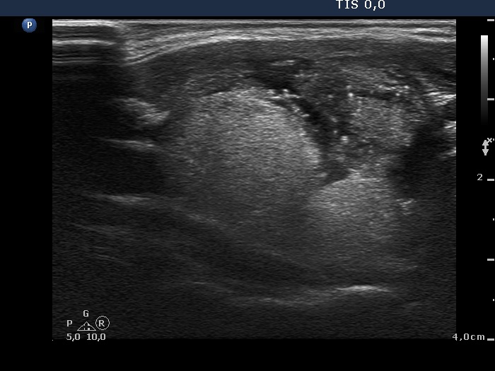
Clinical presentation: A 44-year-old woman was referred for an evaluation of a nodule discovered by herself. She noticed a lump in her right thyroid 2 years ago. The lesion increased in size in the last 3 months.
Palpation: a hard, not freely moveable nodule in the right lobe.
Hormonal examination indicated euthyroidism with TSH 1.34 mIU/L.
Ultrasonography revealed a large nodule in the right lobe. The upper two third of the lesion was echonormal, inhomogeneous while the lower third of the mass was hypoechogenic and contained microcalcifications. The presence of a perinodular blood flow was doubtful.
FNAC report: follicular tumor.
Combining the US and FNAC results the probability of cancer was greater than the average.
Histopathology: follicular adenoma.
.









