Follicular carcinoma - Case 10. |
|
Clinical data: A 42-year-old woman noticed a lump in the neck 2 weeks ago.
Palpation: a firm nodule in the right lobe.
Hormonal examination indicated subclinical hypothyroidism with TSH 5.28 mIU/L, FT4 9.07 pM/L.
Ultrasonography. The thyroid was echonormal. There was a hypoechoic nodule in the right lobe. The lesion did not have halo but presented with perinodular and also intranodular vascularity.
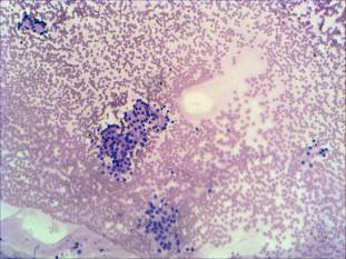
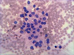
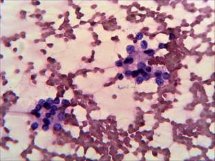
Cytology resulted in follicular tumor without significant atypia.
Histopathology disclosed minimally invasive follicular cancer.
.








