Menu
Case histories
Lectures
Follicular cancer
List of cases
Videorecords
Pitfalls
Course book
Course on US
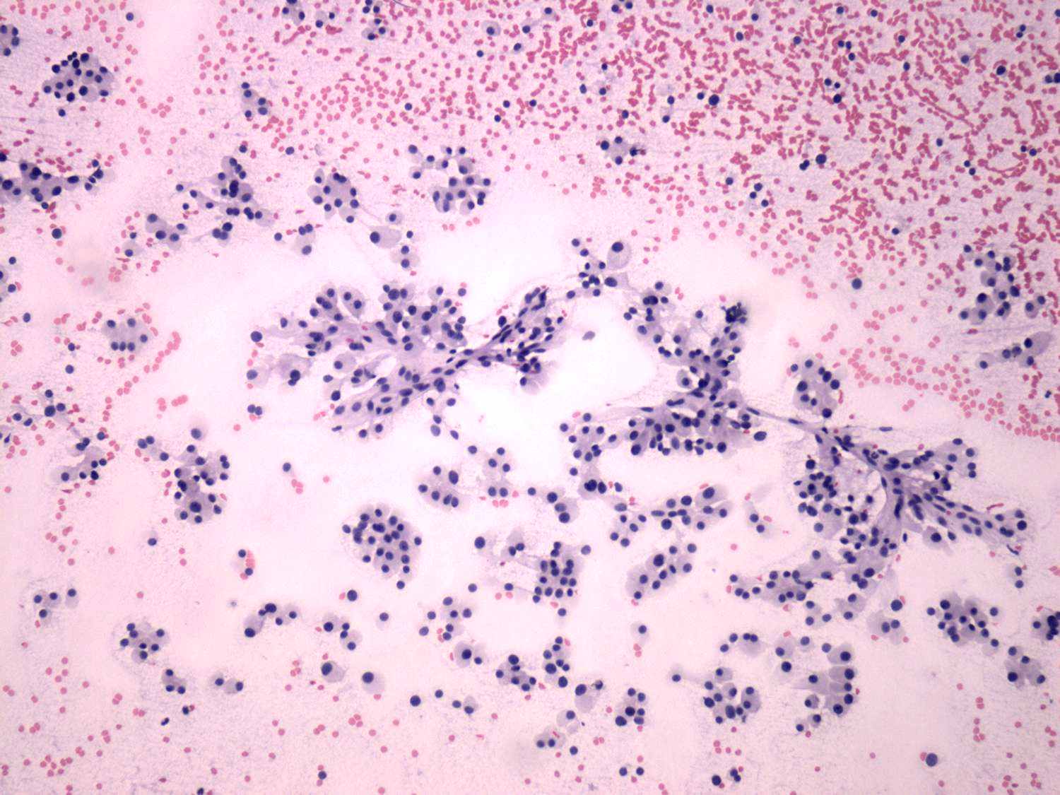
Follicular carcinoma - Case 5. (cytologic picture 1)
Pap-smear, 100x. There is no colloid in the background. Follicular cells dispersed and in microfollicles and in trabecular structures.