Menu
Case histories
Lectures
Follicular cancer
List of cases
Videorecords
Pitfalls
Course book
Course on US
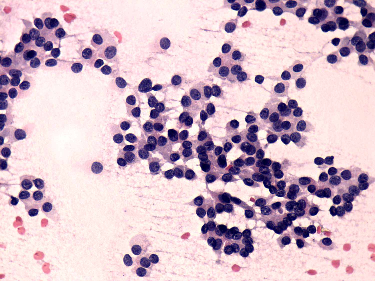
Follicular carcinoma - Case 5. (cytologic picture 3)
Pap-smear,
200x. Follicular cells have abundant cytoplasm.