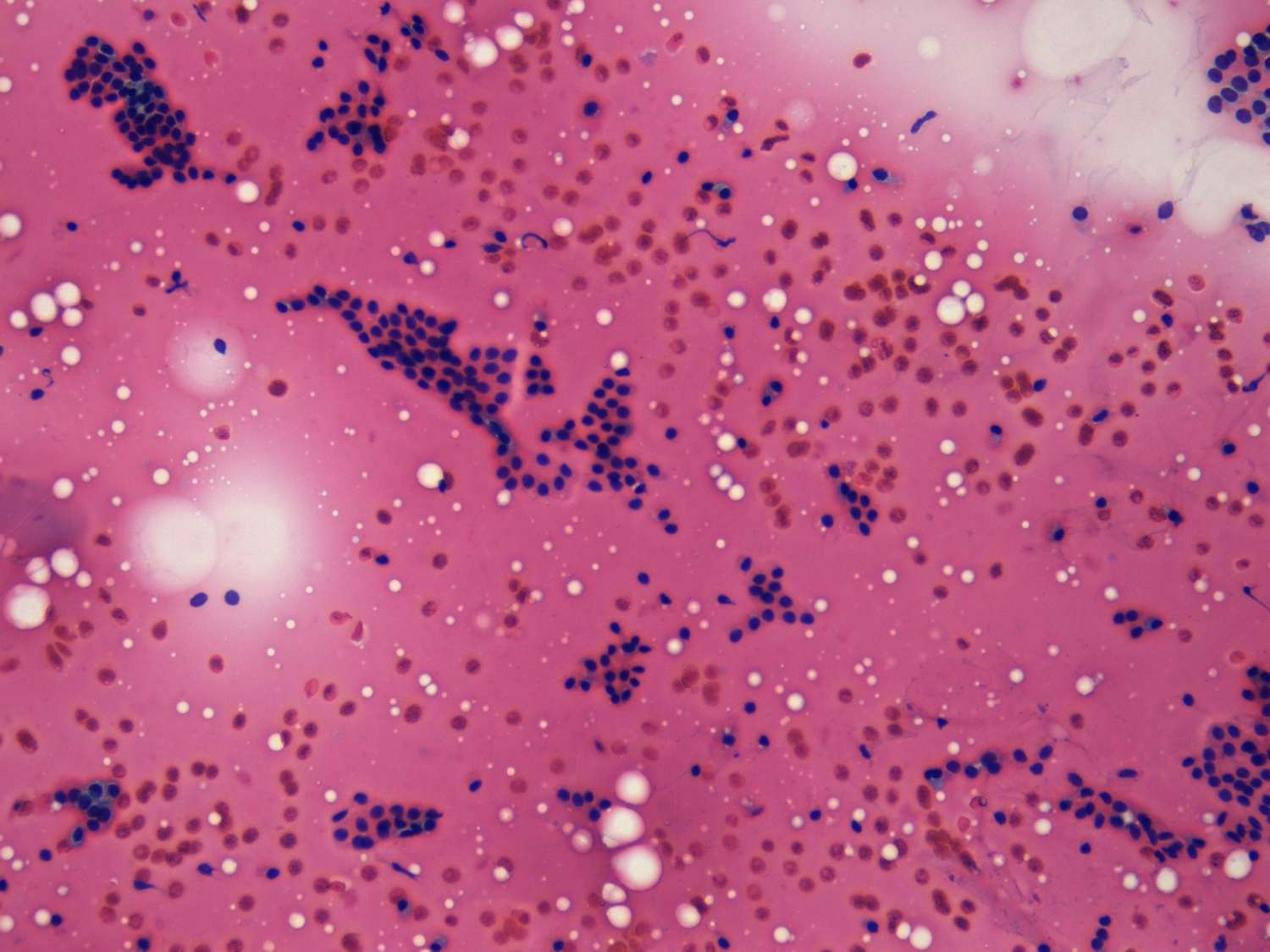
The operated thyroid - Case 18. Recurrent nodules in aberrant location
(cytologic picture 2)
|
|
|
|
|
Pap-smear, 200x. Follicular cells are dissociated and in monolayered sheets.

