Menu
Case histories
Lectures
An operated thyroid
List of cases
Videorecords
Pitfalls
Course book
Course on US
The operated thyroid - Case 18. Recurrent nodules in aberrant location
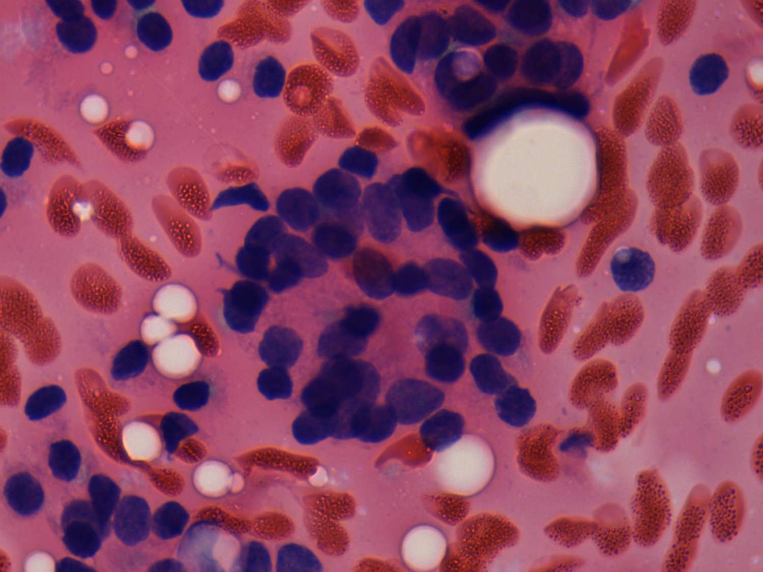
(cytologic picture 5)
Pap-smear, 1000x. The chromatin structure is blunt.