Menu
Case histories
Lectures
Graves' disease
List of cases
Videorecords
Pitfalls
Course book
Course on US
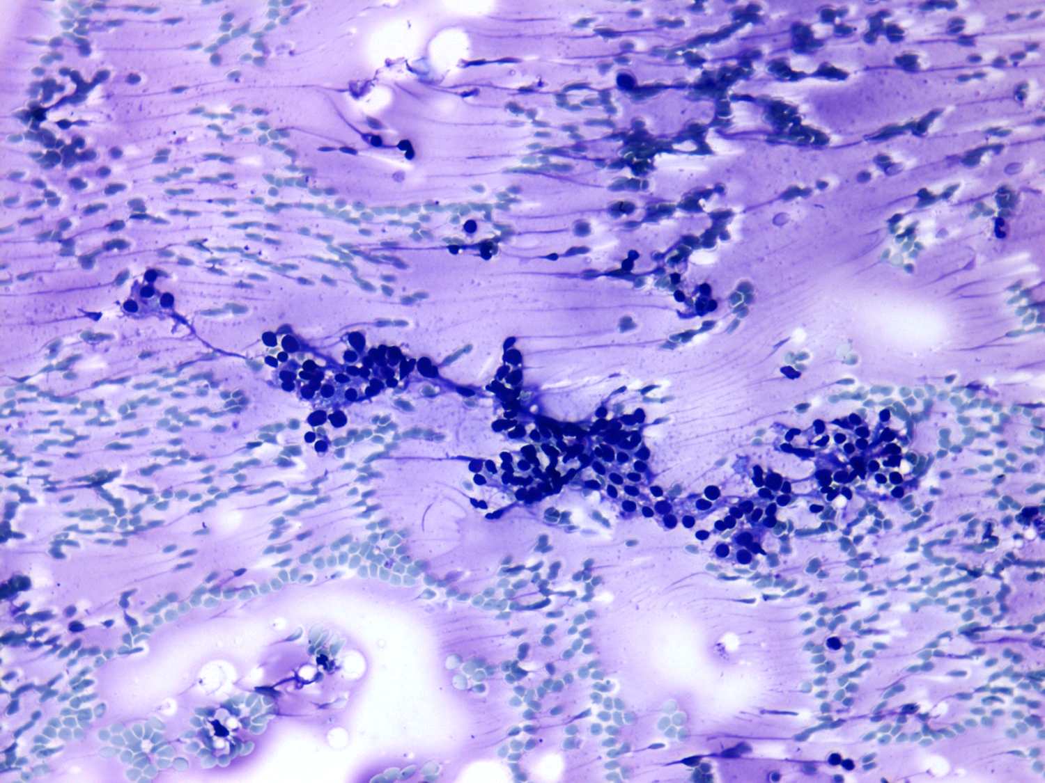
Graves' disease - Case 2. (cytologic picture 2)
Wright-Giemsa staining, 200x. Follicular cells are in loose clusters and in microfollicles.