Menu
Case histories
Lectures
Graves' disease
List of cases
Videorecords
Pitfalls
Course book
Course on US
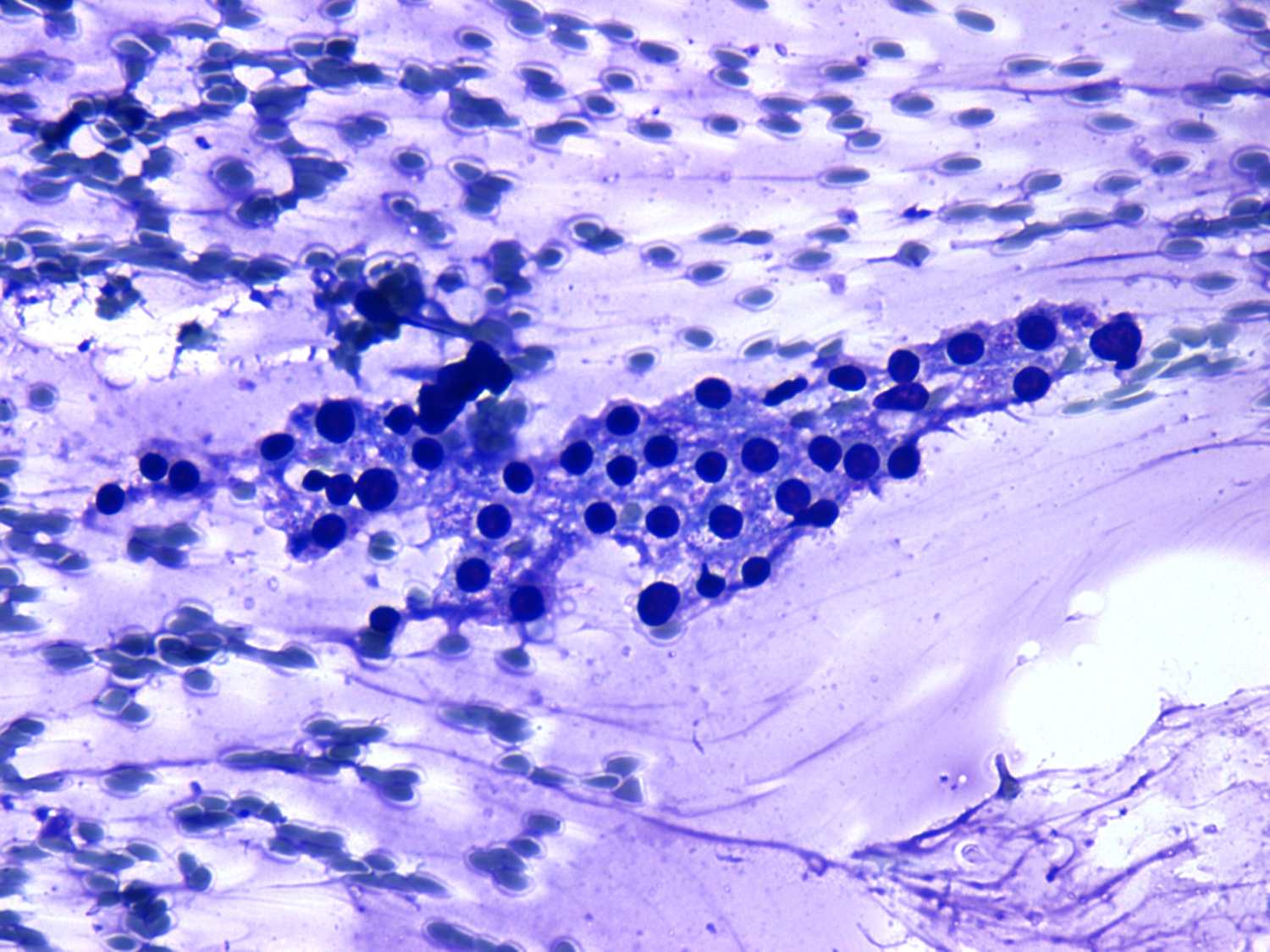
Graves' disease - Case 2. (cytologic picture 4)
Wright-Giemsa staining, 400x. Cytoplasmic vacuolisation is a typical sign of hyperthyroidism.