Patient referred for evaluation of thyroid nodule - final diagnosis Hashimoto's thyroiditis - Case 25.
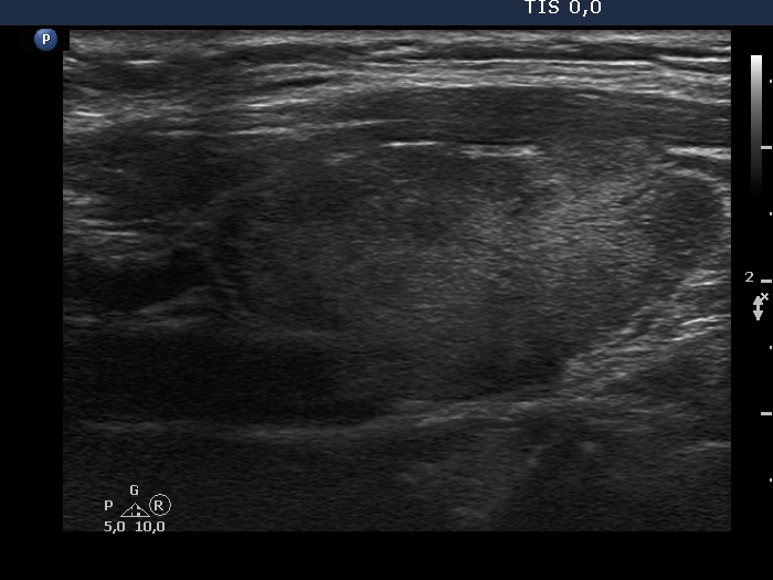
Follow-up investigation two years after the first visit (ultrasonographic picture 7)
doi: 10.24390/thyrocase571.2.07
|
|
|
|
Left lobe, another longitudinal scan.
