Follicular adenoma - Case 2. |
|
Clinical data: a 39-year-old woman was referred for an evaluation of vague neck discomfort.
Palpation: a nodule was palpable in the isthmus.
Result of blood test: euthyroidism (TSH-level 0.91 mIU/L).
Ultrasonography: the thyroids were echonormal. There was a moderately hypoechogenic nodule displaying a halo sign and perinodular blood flow in the right lobe .
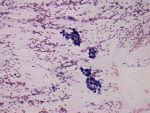
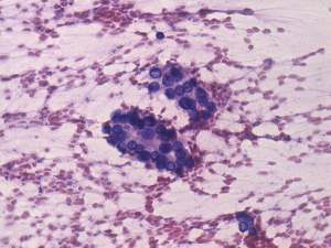
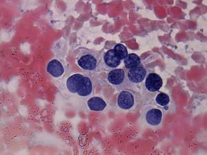
Cytological picture: no colloid can be seen in the background. Thyrocytes are found predominantly in microfollicles. The cells are uniform, contain small prominent nucleoli.
Cytological diagnosis: follicular tumor.
Histopathological diagnosis: microfollicular adenoma.








