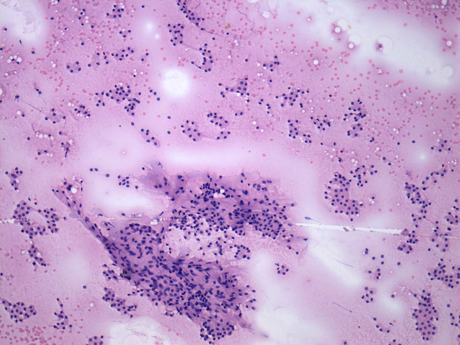
Pap-smear, 100x. Diffuse colloid precipitate in the background. Follicular cells occur in microfollicles.