Menu
Case histories
Lectures
Medullary cancer
List of cases
Videorecords
Pitfalls
Course book
Course on US
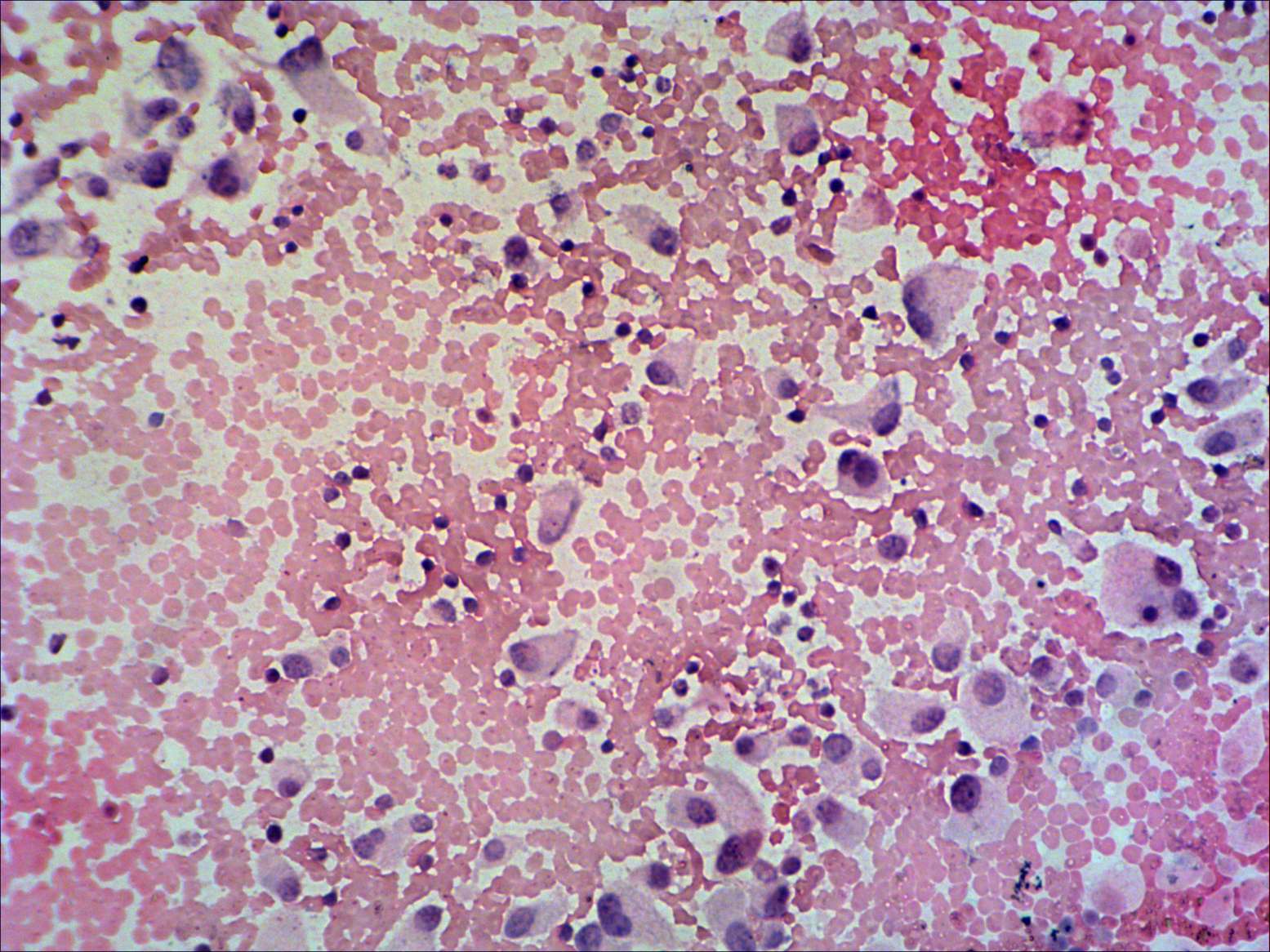
Medullary carcinoma - Case 16. (cytologic picture 2)
Pap-smear, 200x. Thyrocytes did not form any structure. There are many binucleated cells.