Menu
Case histories
Lectures
Medullary cancer
List of cases
Videorecords
Pitfalls
Course book
Course on US
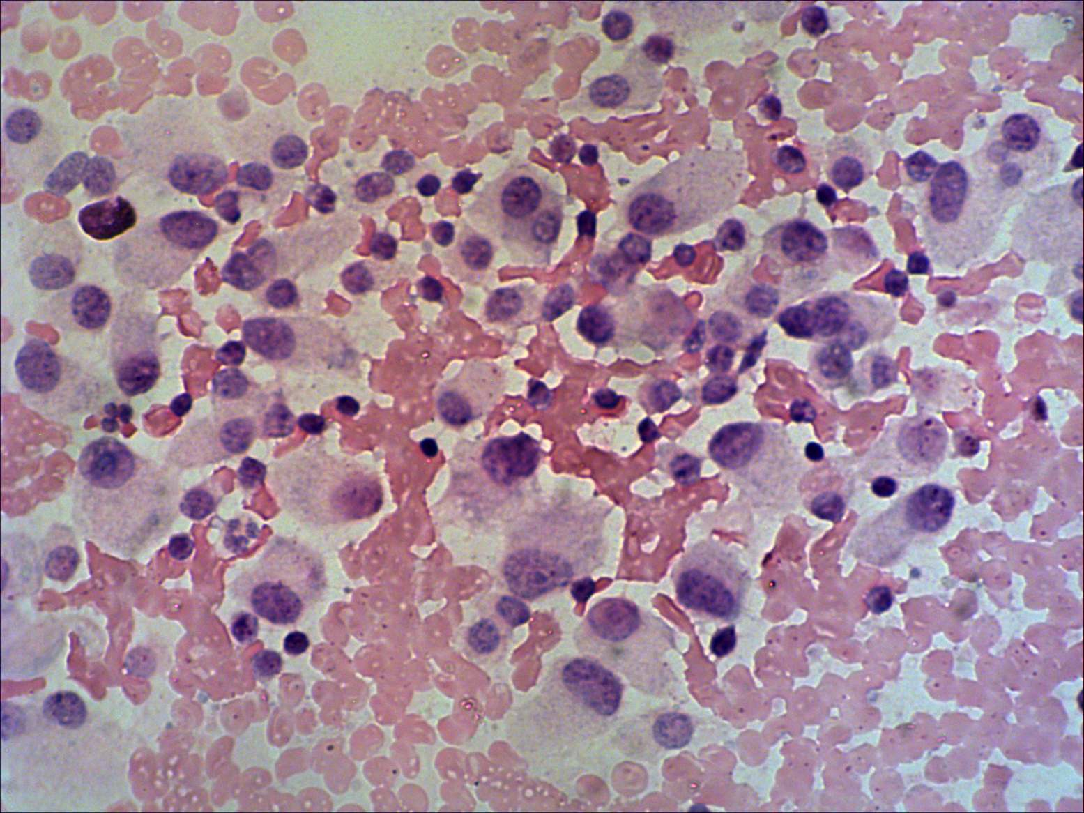
Medullary carcinoma - Case 16. (cytologic picture 5)
Pap-smear, 400x. The differential diagnostic problem is whether this patient has an oxyphilic tumor or a medullary cancer. On my opinion, the cytological picture itself is not fully decisive.