Menu
Case histories
Lectures
Anaplastic cancer
List of cases
Videorecords
Pitfalls
Course book
Course on US
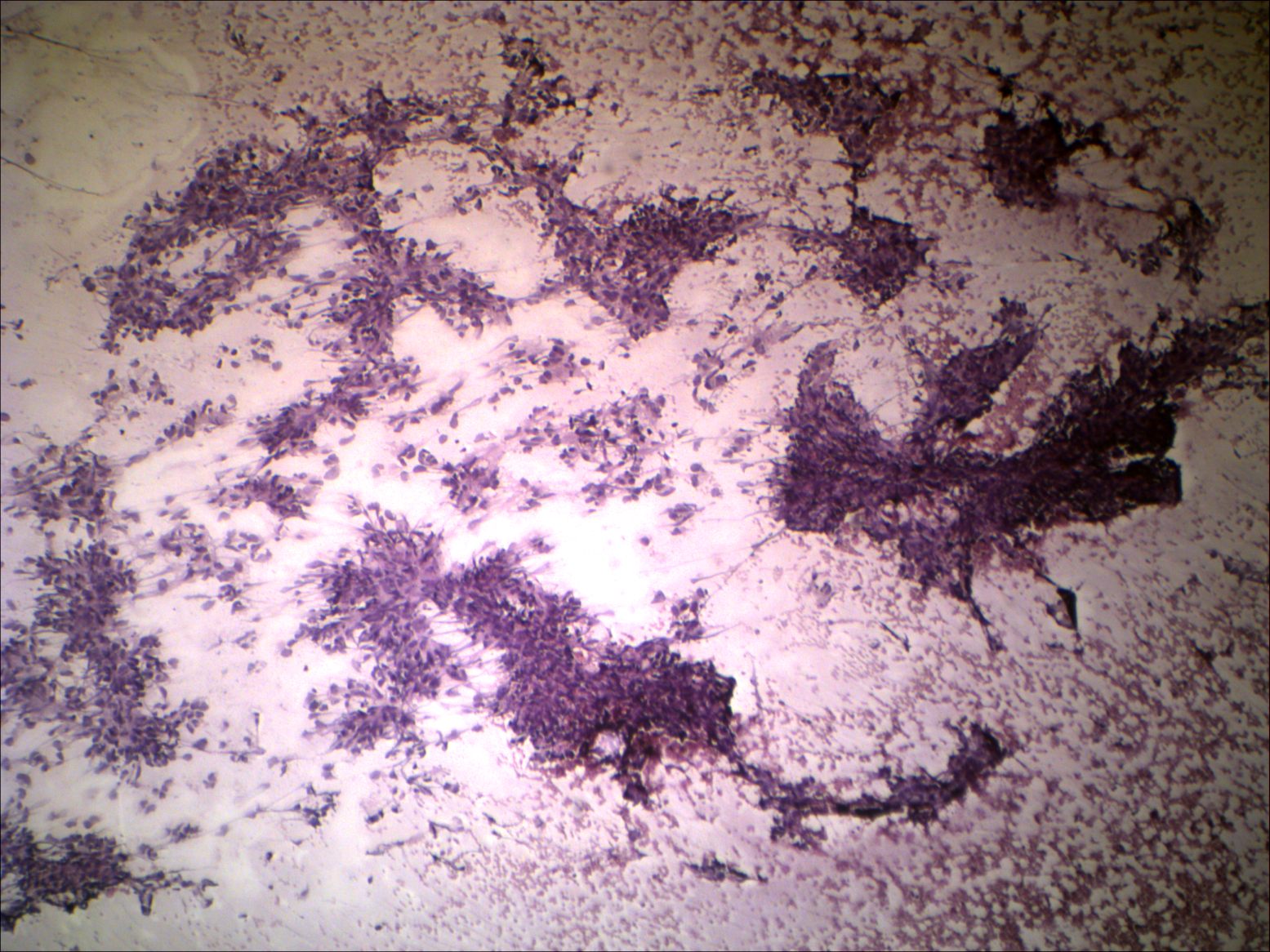
Anaplastic carcinoma - Case 10. (cytologic picture 1)
Pap-smear, 40x. There is no colloid in the background. A very cellular picture.