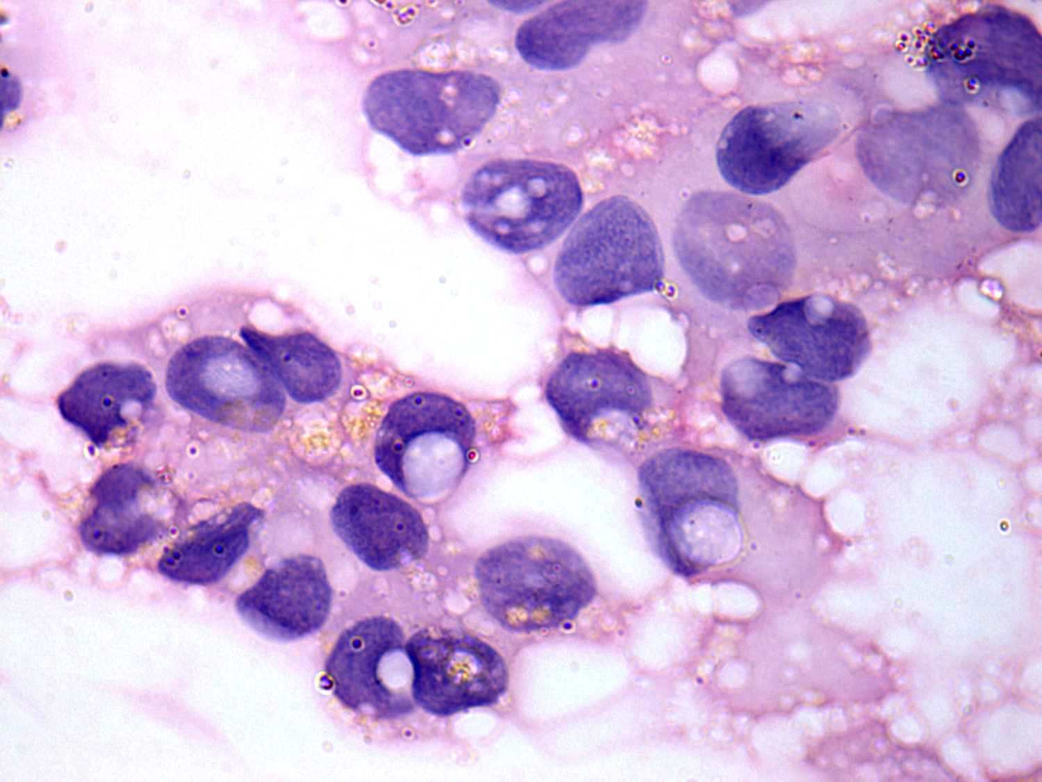
Follicular adenoma - Case 10. (cytologic picture 6)
|
|
|
|
Pap-smear, 1000x. Most if not all of the intranuclear holes demonstrated in this image are only projections of extranuclear vacuoles.

