Menu
Case histories
Lectures
Selected topics: differentiation of discrete lesions
Home
List of cases
Lectures
Videorecords
Course on US
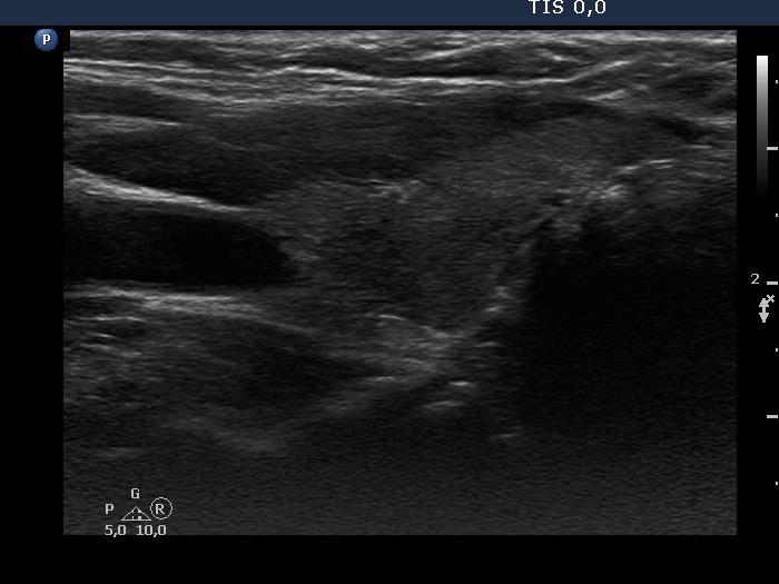
Consecutive patients with Hashimoto's thyroiditis - Case 13. (ultrasonographic picture 7)
Left lobe, longitudinal scan. This lobe also contains more hypoechogenic areas.