Menu
Case histories
Lectures
Follicular cancer
List of cases
Videorecords
Pitfalls
Course book
Course on US
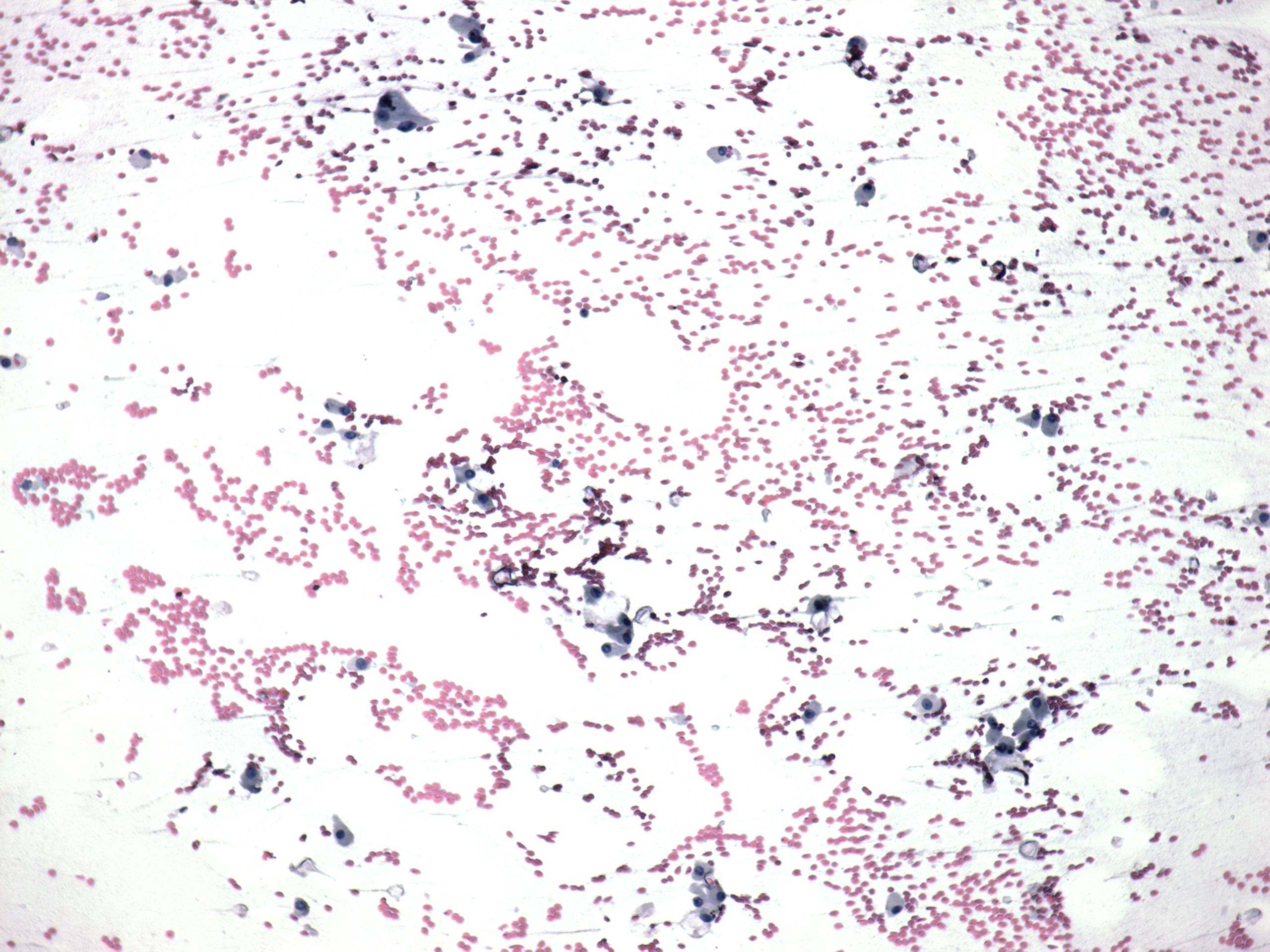
Follicular carcinoma - Case 6. (cytologic picture 1)
Pap-smear, 100x. Follicular cells dispersed and forming microfollicles.