Menu
Case histories
Lectures
Follicular adenoma
List of cases
Videorecords
Pitfalls
Course book
Course on US
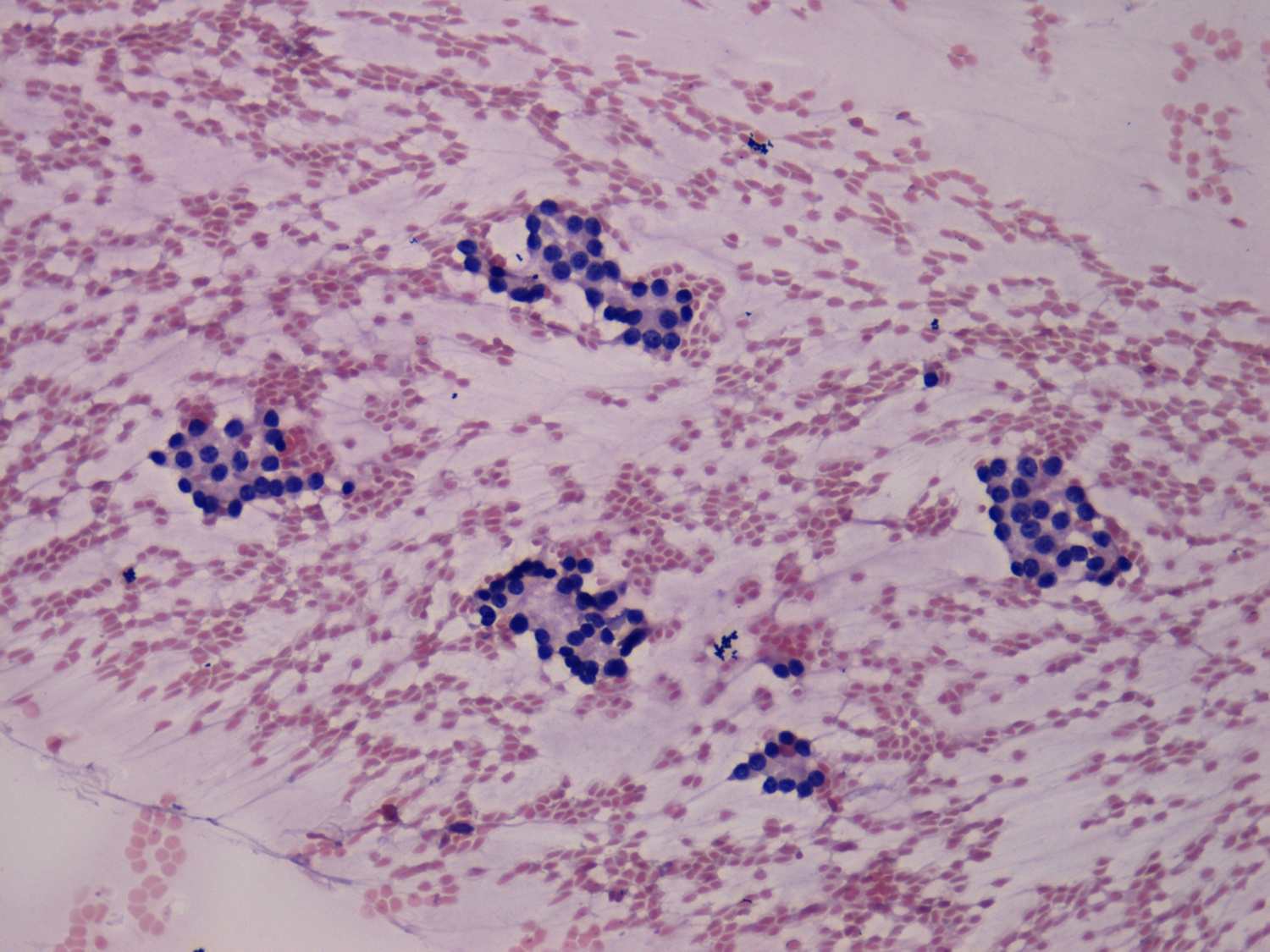
Follicular adenoma - Case 3. (cytologic picture 2)
Pap-smear, 200x. There is no colloid in the background. Thyrocyte form micro- and normofollicles.