Menu
Case histories
Lectures
Graves' disease
List of cases
Videorecords
Pitfalls
Course book
Course on US
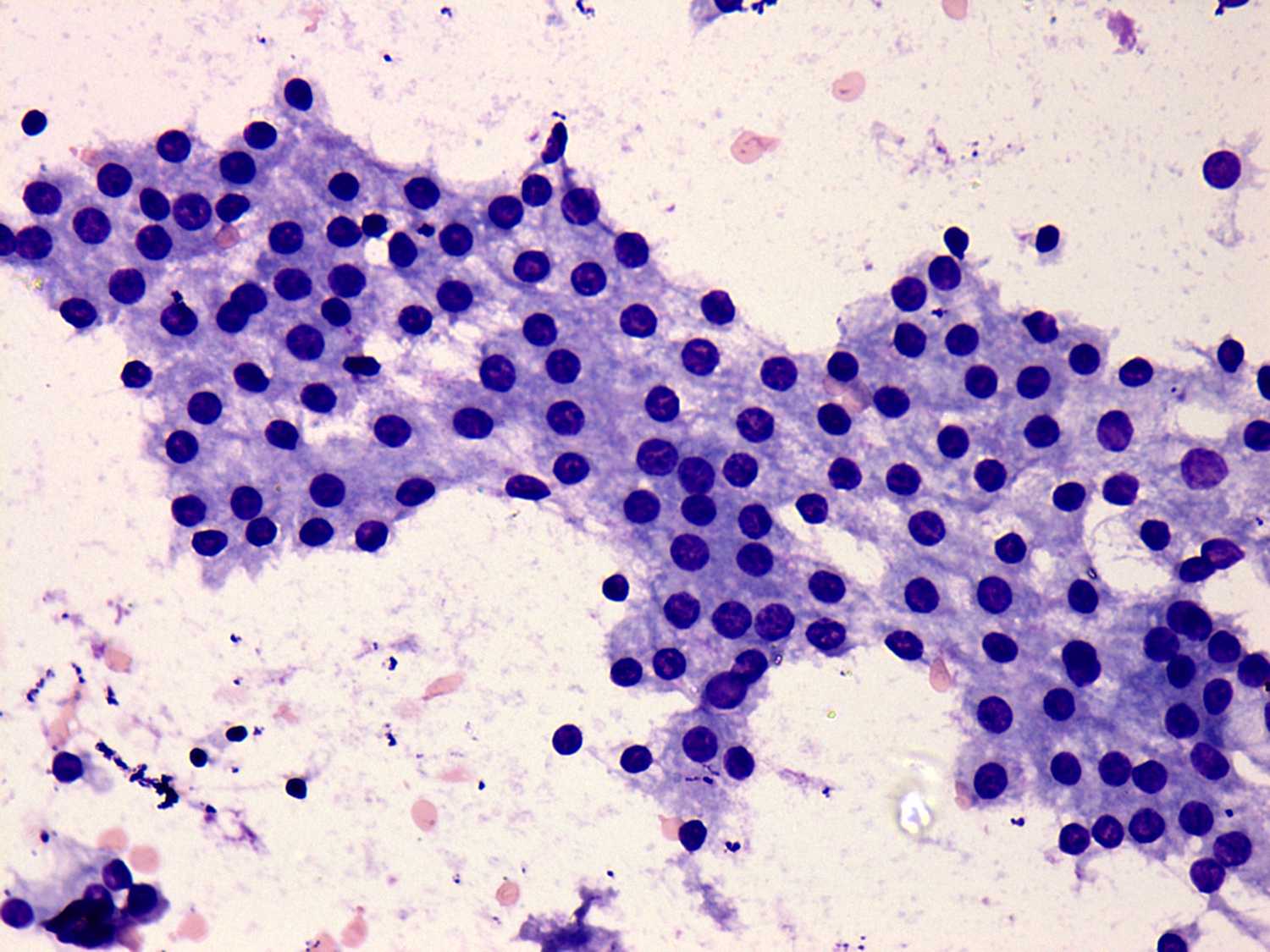
Graves' disease - Case 14. (cytologic picture 3)
Wright-Giemsa staining, 400x. Note vacuolization as sign of dysfunction.