Menu
Case histories
Lectures
Courses
Home
Ultrasound
Cytology
Teamwork
Course on US
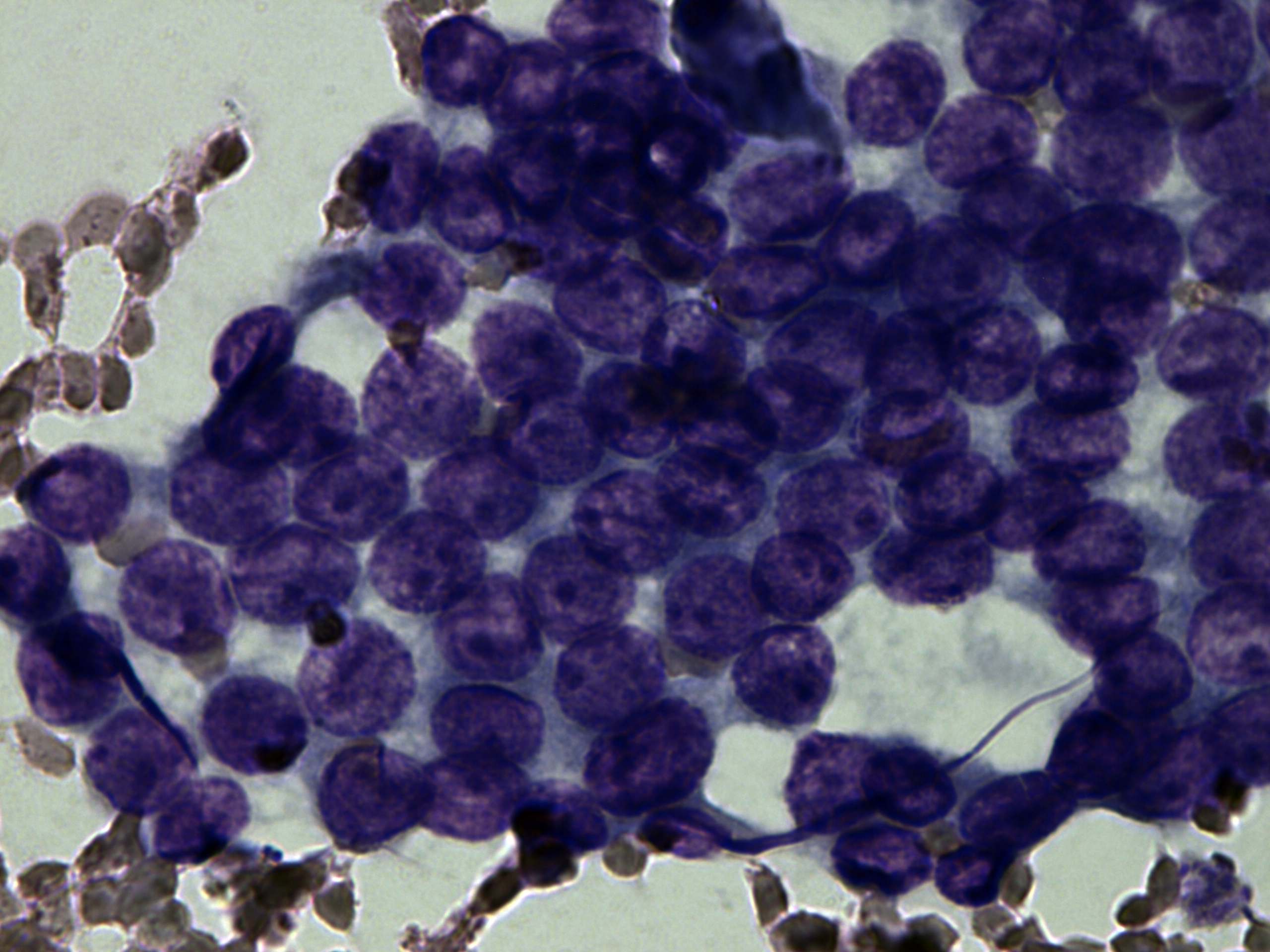
100 consecutive patients with papillary carcinoma - Case 20. (cytologic picture 8)
Wright-Giemsa staining, 1000x.