Menu
Case histories
Lectures
Courses
Home
Ultrasound
Cytology
Teamwork
Course on US
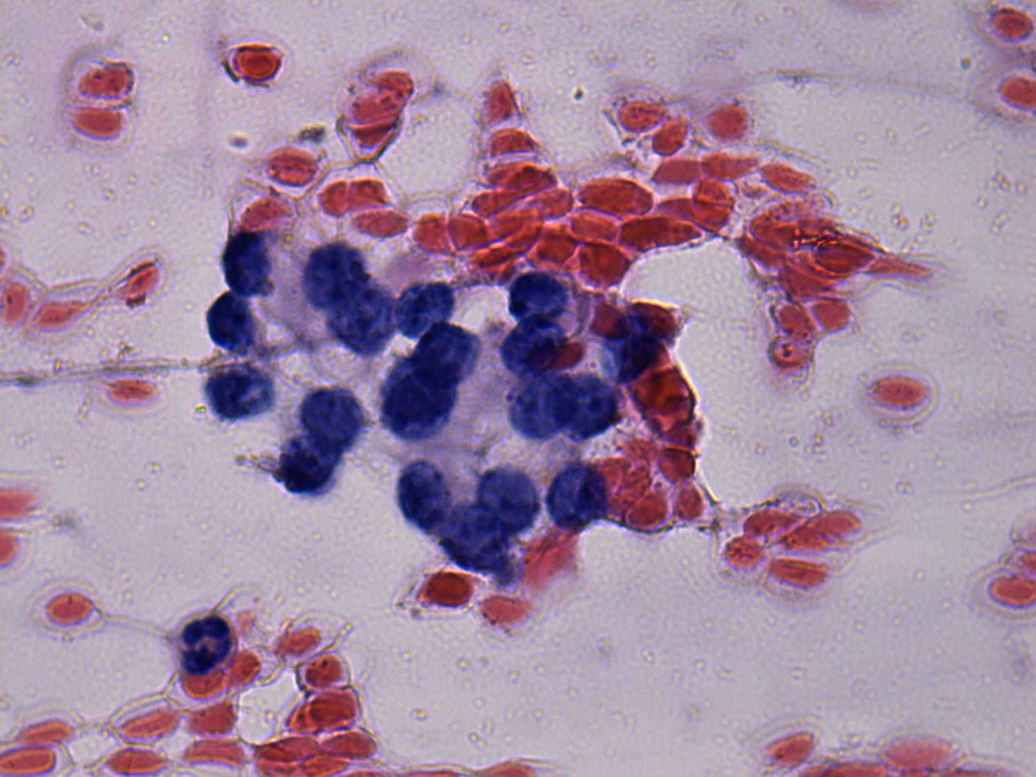
100 consecutive patients with thyroid nodule - Case 25. (cytologic picture 6)
Pap-smear, 1000x. Follicular cells are uniform is size and did not present any significant atypia.