Menu
Case histories
Lectures
Courses
Home
Ultrasound
Cytology
Teamwork
Course on US
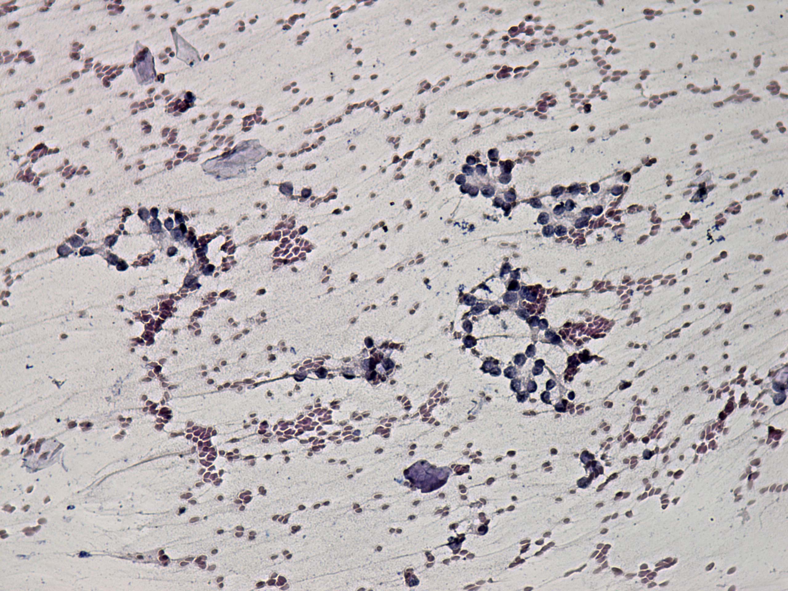
100 consecutive patients with thyroid nodule - Case 27. (cytologic picture 3)
Pap-smear, 200x. Microfollicles are demonstrated.