100 consecutive patients with thyroid nodule - Case 37. |
|
Clinical data: A 55-year-old woman was treated for hyperthyroidism for 6 years. She was known harboring a multinodular goiter. She wished to avoid to be operated on and requested for ethanol sclerotherapy.
Palpation: Both thyroids were enlarged and contained multiple nodules.
Functional state: hypothyroidism on daily 10 mg methimazole (TSH 1.85 mIU/L, FT4 8.92 pM/L).
Ultrasonography. The thyroids were composed of multiple nodules with different echogenicities. The lesion presented various forms of intranodular hyperechogenic figures, including microcalcifications. Despite the presence of the latter, neither of the lesions were suspicious, they presented regular and sharp borders. increased intranodular blood flow.
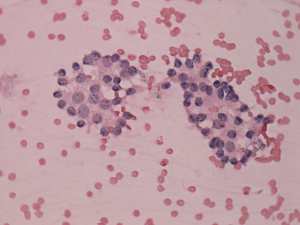
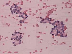
Cytology was performed form two lesions and resulted in benign colloid goiter and benign follicular proliferation. The images of the latter smear are demonstrated which was gained from a moderately hypoechogenic nodule in the left lobe.
We told the patient that the thyroid status is not suitable for sclerotherapy and offered surgery.
A bilateral total thyroidectomy was performed. Histopathology disclosed benign hyperplastic nodules.
.















