Thyroid cancers - case 548 (cytologic picture 3)


Previous picture Back to Case Maximize Next picture


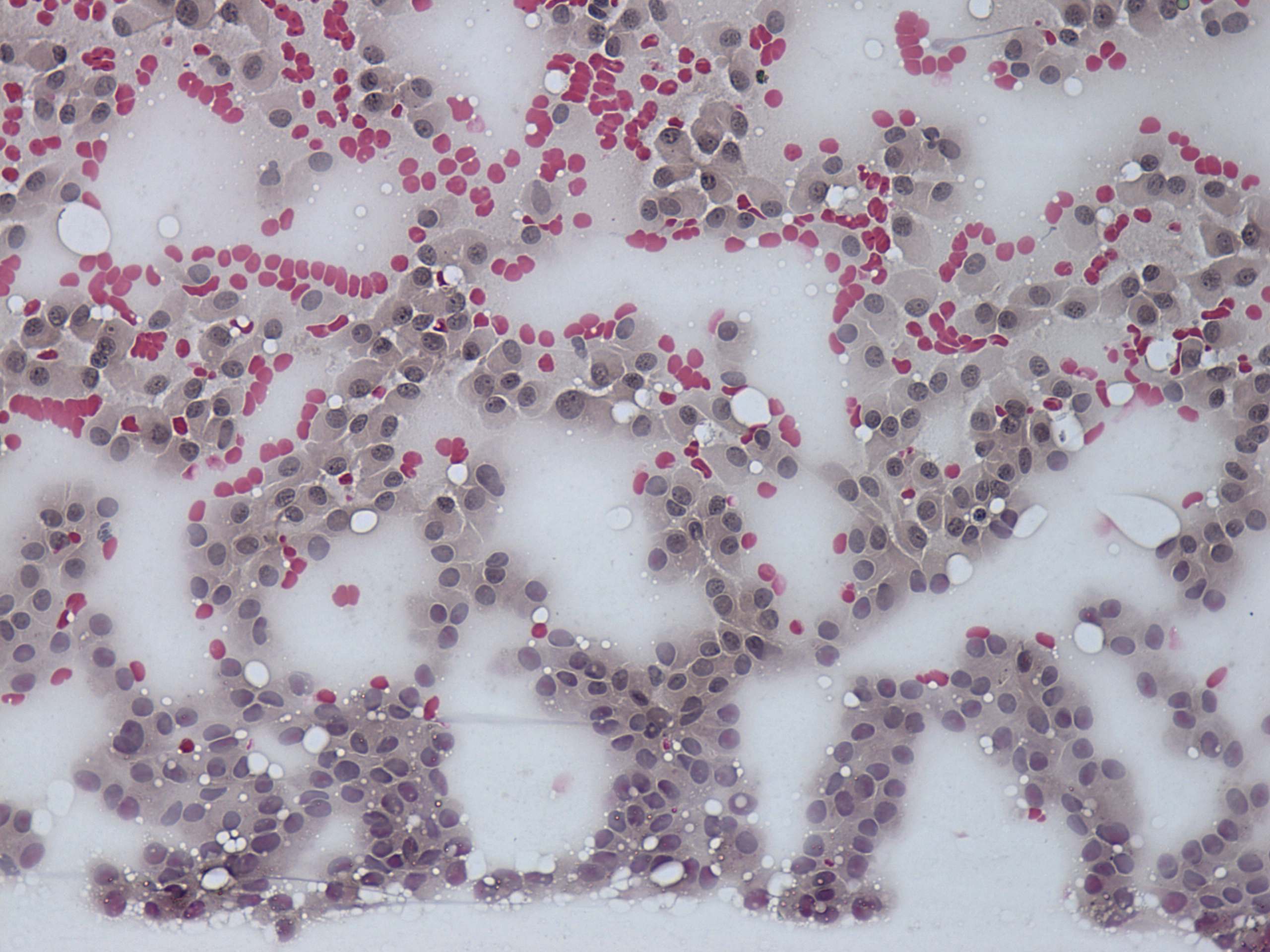
Pap-smear, 200x.  Polygonal forms dominate the smear.

mask