Thyroid cancers - case 262 (cytologic picture 5)


Previous picture Back to Case Maximize  

Right lobe, longitudinal scan

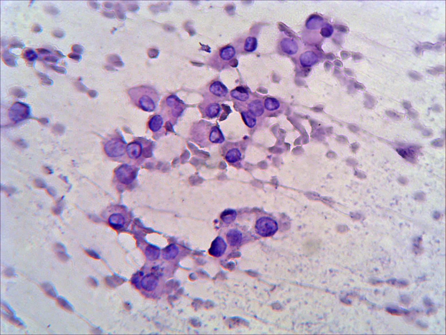
Pap-smear, 400x.  Follicular cells vary in size, but did not present significant atypia.

 

 

 

 

mask