Menu
Home
2 Nodular goiter
3 Non-nodular thyroid
4 Non-thyroid neck
5 US-interventions
6 Advanced courses
Thyroid cancers
Cases
Supplement
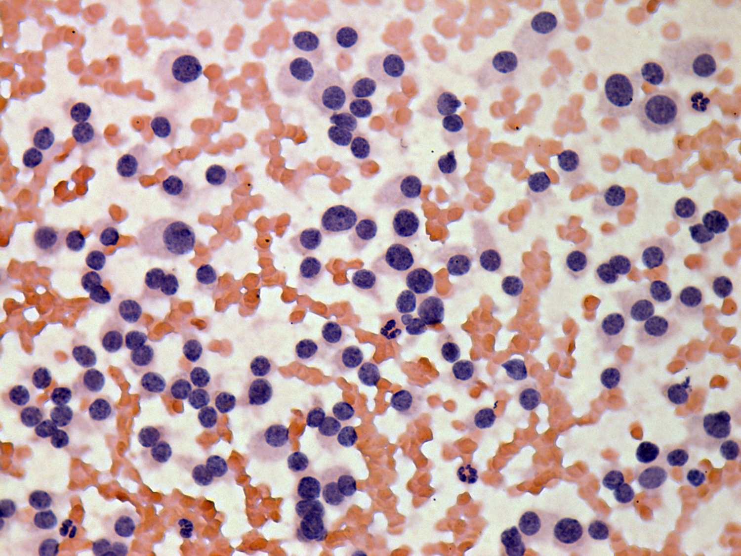
Thyroid cancers - case 401
(cytologic picture 4 of
medullary
cancer)
Pap-smear, 400x. There are polygonal cells with eccentric nuclei.