Thyroid cancers
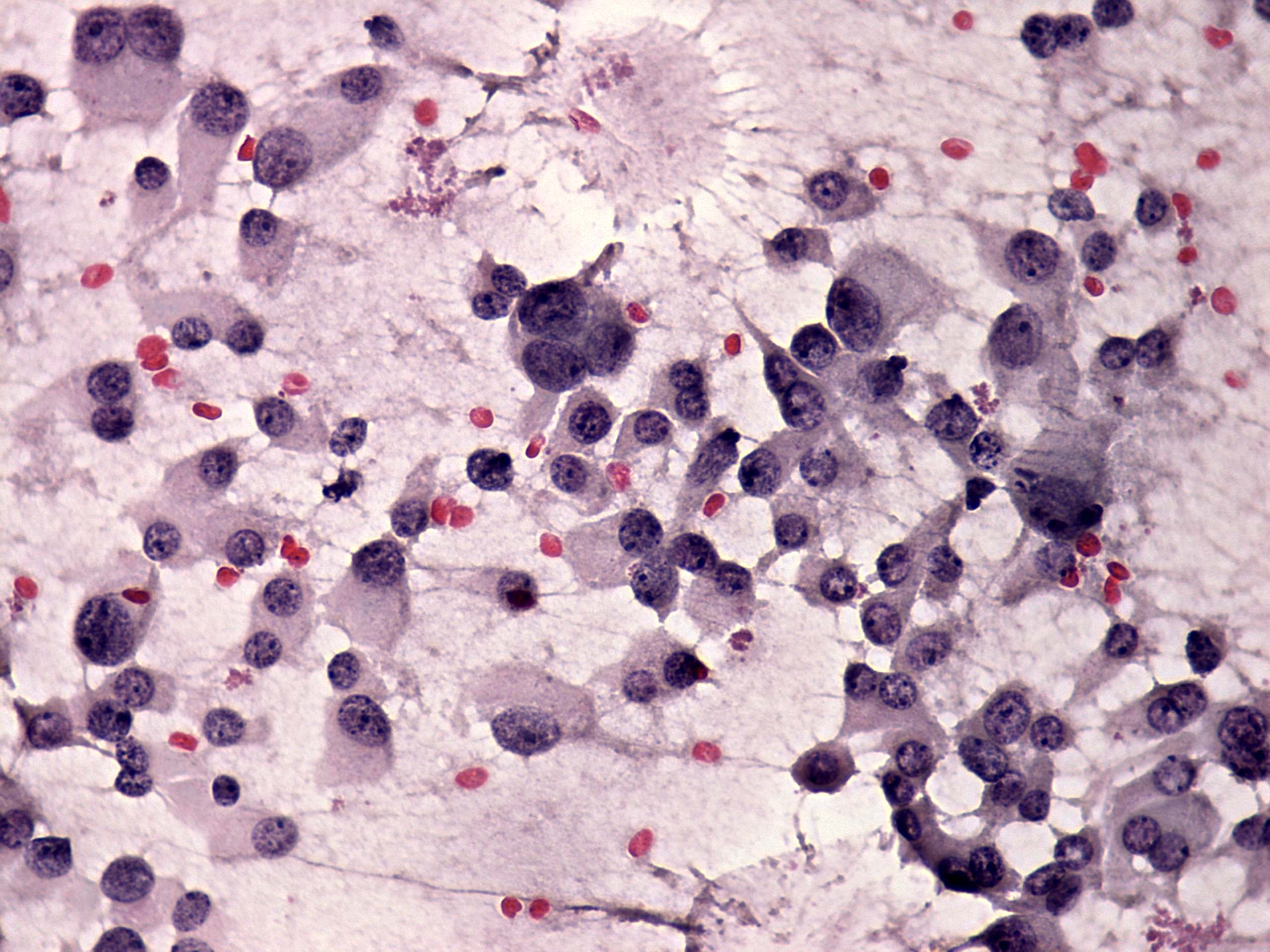
Pap-smear, 400x. The presence of triangular cells with eccentric nuclei is a specific finding of medullary carcinoma.