Menu
Home
2 Nodular goiter
3 Non-nodular thyroid
4 Non-thyroid neck
5 US-interventions
6 Advanced courses
Thyroid cancers
Cases
Supplement
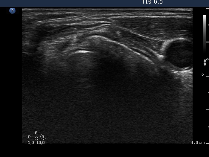
Thyroid cancers - case 529 (ultrasonographic picture 3)
Left lobe, transverse scan. This lobe has been also totally removed.