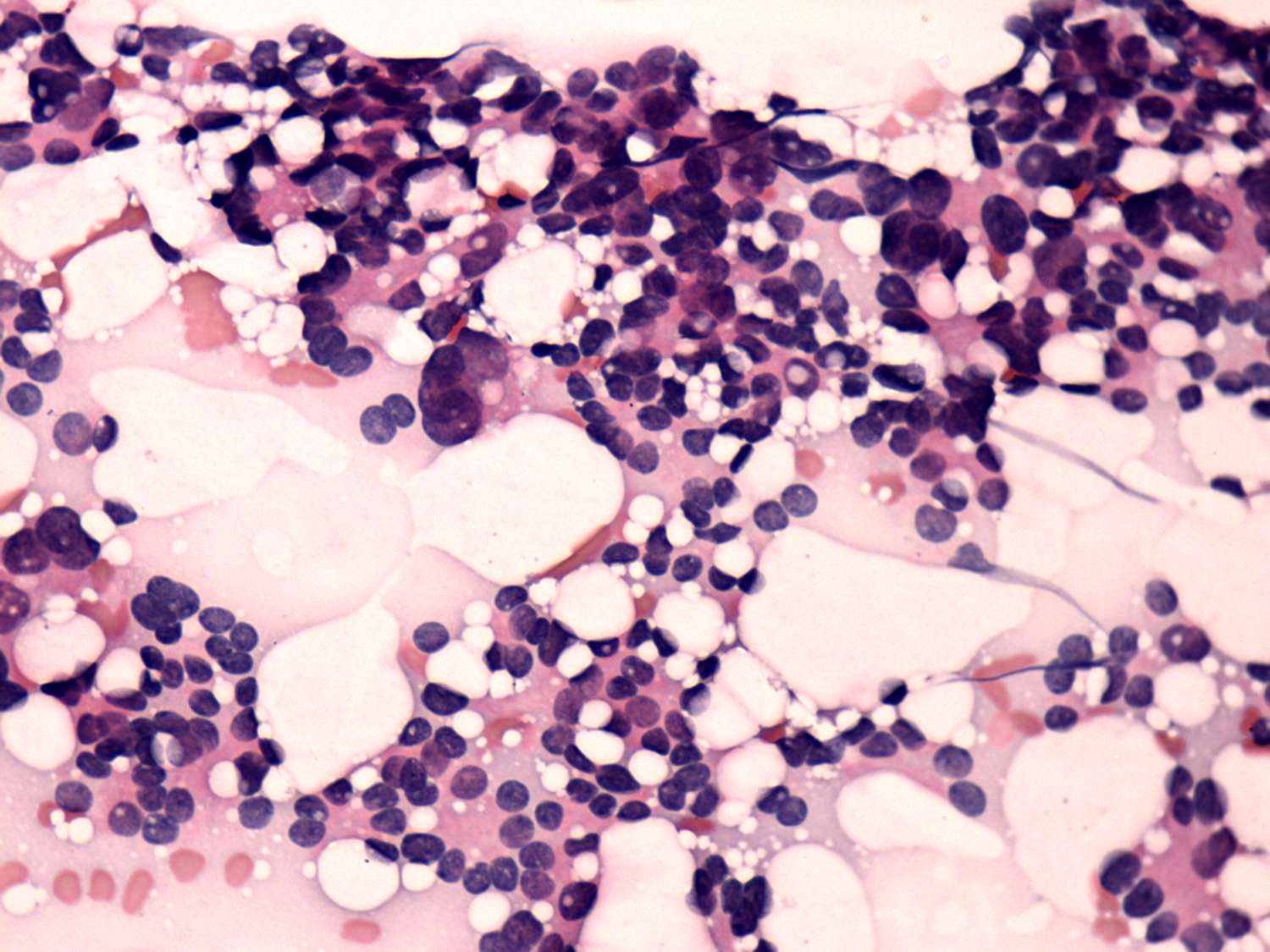
Thyroid cancers - case 665 (cytologic picture 4 of another smear)
|
|
|
![]() |
Pap-smear, 400x. There are atypical microfollicles composed of enlarged, atypical follicular cells including several pleomorphic forms.

