Menu
Home
2 Nodular goiter
3 Non-nodular thyroid
4 Non-thyroid neck
5 US-interventions
6 Advanced courses
Thyroid cancers
Cases
Supplement
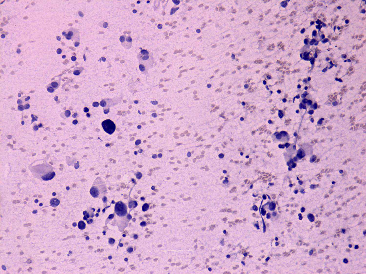
Thyroid cancers - case 959 (cytologic picture 2)
ap-smear, 200x. There are cells which are not only enlarged but also pleomorphic.