TIRADS - Table 3 (large) EU-TIRADS 3 category

 

Iso/hyperechoic nodules without any suspicious signs are included in this subgroup. There are two issues. The first relates to hypoechoic thyroid. In such nodules, the 'normal reference' tissue is not evident on which we can differentiate between hypoechoic and non-hypoechoic nodule. It can be the extranodular part or the normal submandibular salivary gland, but even a healthy thyroid, as well. The other problem is the lack of clear definition on heterogeneous nodules.

Those cystic nodules which do not fully meet the criteria for EU TIRADS 2 nodules, should be also put into EU TIRADS 3 subgroup. These are mainly those almost purely cysts which have a tiny solid part or wall thickening.

Benign cystic lesion (cytology) - case 1455
Benign colloid goiter (cytology) - case 2143

Both cases present iso/hyperechoic nodules without any suspicious findings.

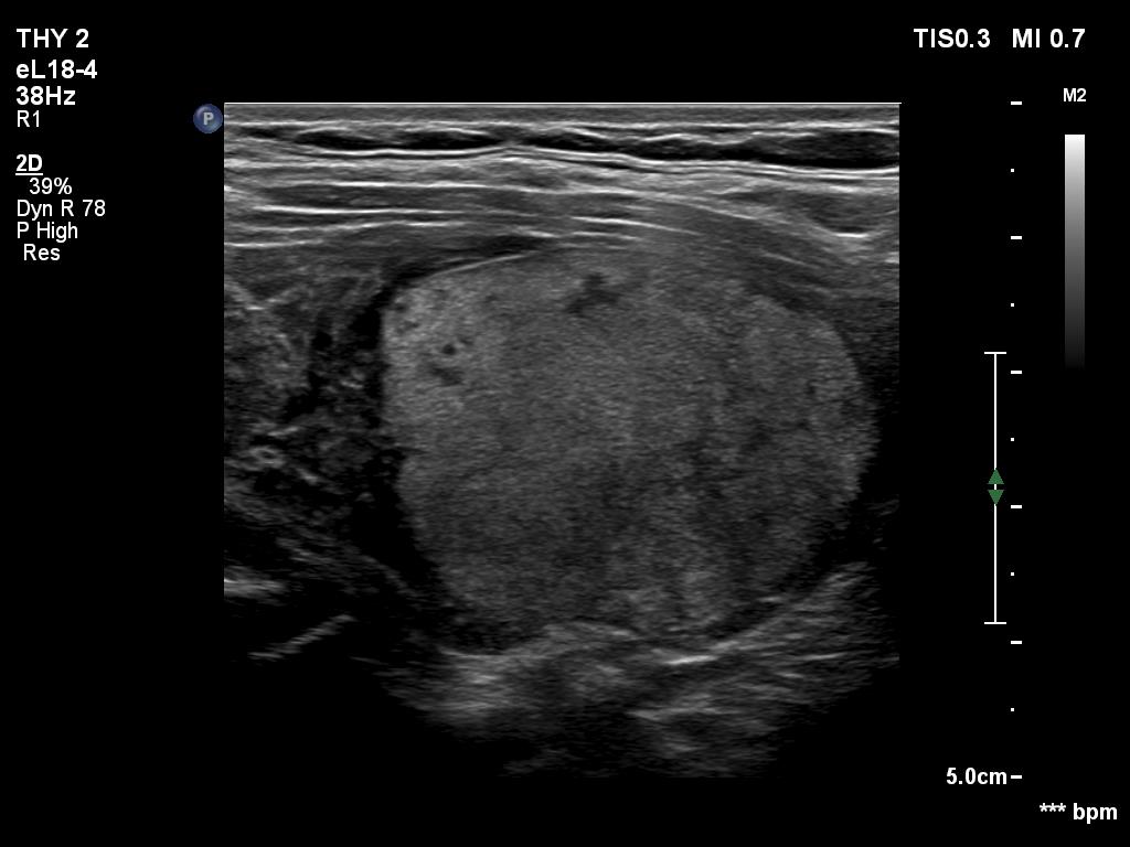
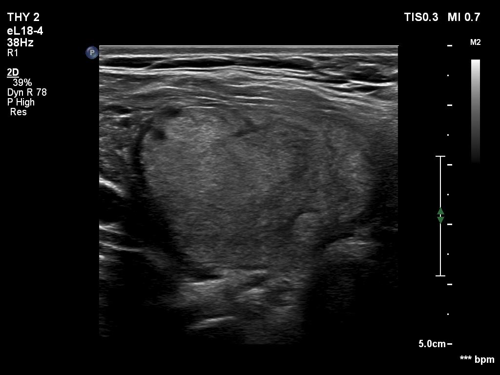
Benign nodule in Hashimoto's thyroiditis (cytology) - case 1286
Transverse scan
Longitudinal scan

The iso/hyperechoic nodule has irregular margins. However, these are caused not by the infiltrative growth of the nodule but the infiltrative nature of the underlying autoimmune thyroiditis. Therefore, this nodule is an EU-TIRADS 3 lesion.

Benign cystic nodule (cytology and wash-out) - case 2177

Transverse scan
Longitudinal scan

According to the EU-TIRADS, this lesion cannot be regarded as a purely cystic nodule due to the presence of wall-thickening (yellow arrows). The EU-TIRADS defines this lesion as an EU-TIRADS 3 nodule.