The borders of the nodule - case 1481 (cytologic picture 6)


Previous picture Back to Case Maximize Next picture

Right lobe, longitudinal scan

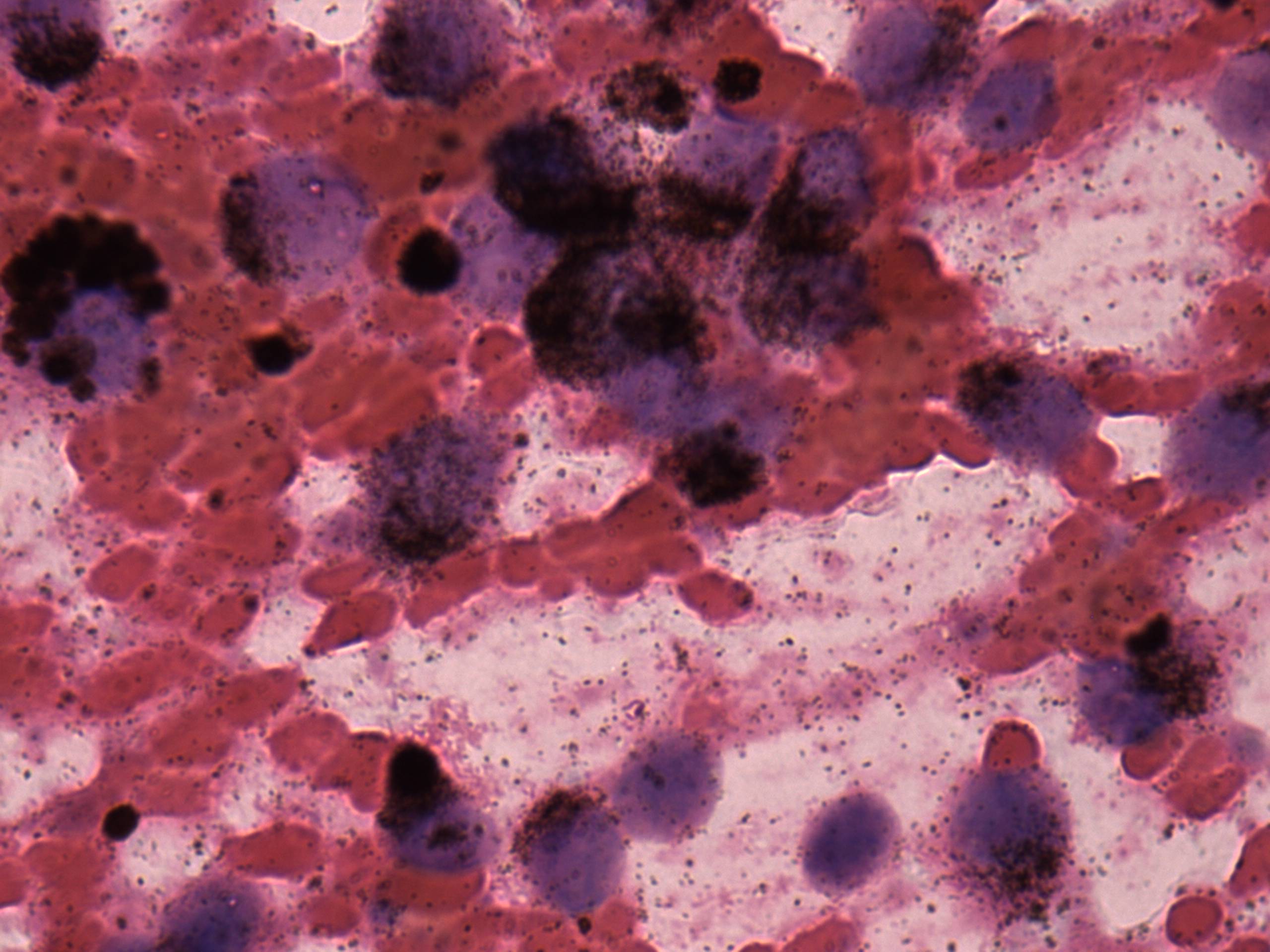
Pap-smear, 1000x.   Melanin pigment is found even extracellular.

mask