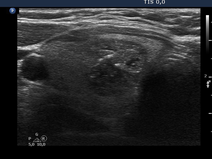
The borders of the nodule - case 2054 |
|
Clinical presentation: A 43-yr-old woman was referred for aspiration cytology of a nodule discovered on evaluation of 'lump in the throat' feeling.
Palpation: The right lobe was suspicious having a nodule.
Laboratory test: TSH 1.18 mIU/L.
Ultrasonography. The thyroid was echonormal. There was a mass composed of several discrete lesions in the central part of the right lobe.
Cytology was resulted in benign lesion.
Comment. This is an equivocal presentation regarding nodule' borders. First, there is a mass composed of distinct nodules which makes the appearance of the borders lobulated. Second, there are some spiculations which are likely within the nodule and not at the borders.





